Sáng 1/4, Bệnh viện đa khoa Trung ương Quảng Nam cho biết, đơn vị vừa cứu sống một bệnh nhân nam (63 tuổi) bị tai nạn giao thông gây chấn thương thủng phổi do mảnh gãy của xương sườn đâm vào.
Sáng 11/3, Bệnh viện Đa khoa Trung ương Quảng Nam cho biết, đơn vị vừa cứu sống bệnh nhân ăn cá nóc bị ngộ độc nguy kịch. Bệnh nhân là bà P.T.M. (51 tuổi, trú tại huyện Bình Sơn, tỉnh Quảng Ngãi).
Trước tình hình dịch bệnh sốt phát ban nghi sởi diễn biến rất phức tạp trên địa bàn huyện Nam Trà My (Quảng Nam), chiều 10/3, Giám đốc Sở Y tế đã có công văn gửi các cơ quan liên quan của tỉnh, Ủy ban nhân dân các huyện, thị xã, thành phố và các cơ sở khám chữa bệnh trên địa bàn tỉnh về tiếp tục triển khai thực hiện các biện pháp phòng chống dịch bệnh sởi; khẩn trương tổ chức điều tra, xác minh các trường hợp bệnh.
Trước tình hình dịch bệnh sốt phát ban nghi sởi diễn biến phức tạp trên địa bàn huyện Nam Trà My, chiều 5/2, Giám đốc Sở Y tế tỉnh Quảng Nam Mai Văn Mười đã phát đi văn bản đề nghị Trung tâm Kiểm soát bệnh tật tỉnh Quảng Nam, Trung tâm y tế các huyện, thị xã, thành phố và các cơ sở khám bệnh, chữa bệnh trên địa bàn tỉnh khẩn trương triển khai thực hiện các biện pháp phòng, chống dịch bệnh sởi.
Sau khi nhận được thông tin 3 trẻ em ở xã Trà Leng, huyện Nam Trà My (Quảng Nam) tử vong, chiều 4/2, Trung tâm Kiểm soát bệnh tật tỉnh Quảng Nam đã cử đoàn công tác lên xã Trà Leng xác minh, làm rõ nguyên nhân; đồng thời hỗ trợ, hướng dẫn Trung tâm Y tế huyện Nam Trà My và Trạm Y tế xã Trà Leng về công tác chuyên môn.
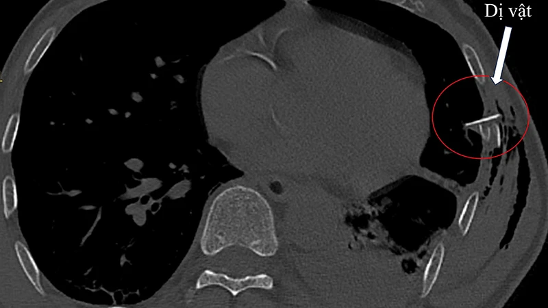
Chiều 28/12, Bác sĩ chuyên khoa 2, Nguyễn Tam Thăng, Phó Giám đốc Bệnh viện đa khoa Quảng Nam cho biết, bệnh viện vừa cứu sống một bệnh nhân mất máu nguy kịch do vết thương thấu ngực. Đây là bệnh nhân đầu tiên bị mất máu nguy kịch được cứu sống, sau 10 ngày tiếp nhận, phẫu thuật và điều trị.
Từ nhiều năm nay, Bệnh viện đa khoa Quảng Nam luôn rơi vào tình trạng quá tải về công suất sử dụng giường bệnh trong điều trị bệnh nhân lưu trú, ảnh hưởng rất lớn đến công tác khám và điều trị bệnh nhân. Vì thế, việc đầu tư cơ sở hạng tầng được kỳ vọng sẽ giảm áp lực quá tải cho bệnh viện. Tuy nhiên, điều rất bất cập đó là, hạng mục Khu điều trị kỹ thuật cao tại Bệnh viện đa khoa Quảng Nam được đầu tư hàng trăm tỷ đồng sau khi xây dựng xong lại bỏ không, chưa thể hoạt động vì thiếu thiết bị y tế.
Ngày 31/10, lãnh đạo Trung tâm Y tế thị xã Điện Bàn (Quảng Nam) cho biết, tại địa phương vừa ghi 1 trường hợp mắc bệnh dại do chó cắn dẫn đến tử vong. Nạn nhân là cháu Nguyễn Hữu Th. (sinh năm 2017, ở khối Thanh Quýt 4, phường Điện Thắng Trung, thị xã Điện Bàn).
Ngày 25/10, Ủy ban nhân dân huyện Đại Lộc (Quảng Nam) cho biết, trên địa bàn huyện vừa xảy ra vụ 15 học sinh Trường Tiểu học Nguyễn Ngọc Bình (xã Đại Hiệp, huyện Đại Lộc) nhập viện nghi do ngộ độc thực phẩm sau khi ăn sữa chua.
Từ ngày 9-16/9, Đoàn kiểm tra Liên ngành tỉnh Quảng Nam về an toàn vệ sinh thực phẩm tiến hành kiểm tra việc chấp hành pháp luật tại các cơ sở sản xuất, chế biến, kinh doanh thực phẩm, dịch vụ ăn uống trên địa bàn tỉnh trong dịp Tết Trung thu năm 2024.
Chiều 11/5, thông tin từ Văn phòng Ủy ban nhân dân tỉnh Quảng Nam cho biết, liên quan đến sự cố y khoa đối với nữ bệnh nhân trong quá trình phẫu thuật tại Bệnh viện đa khoa Quảng Nam, Phó Chủ tịch Ủy ban nhân dân tỉnh Trần Anh Tuấn yêu cầu Sở Y tế khẩn trương báo cáo các nội dung liên quan sự cố này trước ngày 15/5/2024.
Trước tình hình bệnh dại đang có chiều hướng gia tăng tại nhiều tỉnh, thành phố, từ đầu tháng 4/2024, tỉnh Quảng Nam đã triển khai đồng bộ các giải pháp để ngăn chặn nguy cơ gia tăng số người phải điều trị dự phòng bệnh dại do động vật cắn, số ca tử vong do bệnh dại; tiến tới chấm dứt tình trạng động vật có khả năng gây bệnh dại, đặc biệt là chó, mèo thả rông, gây nguy hiểm cho người.
Chiều 8/3, lãnh đạo Sở Y tế Quảng Nam cho biết, sau khi phát hiện 11 ca mắc bệnh thủy đậu tại xã Tr’Hy, đơn vị đã chỉ đạo Trung tâm Kiểm soát bệnh tật tỉnh phối hợp các cơ quan liên quan kiểm tra, hướng dẫn Trung tâm y tế huyện Tây Giang triển khai công tác phòng chống, không để dịch bệnh thủy đậu lây lan, bùng phát.
Chiều 18/12, thông tin từ Sở Y tế Quảng Nam cho biết, Hội đồng nhân dân tỉnh Quảng Nam vừa phê duyệt chủ trương đầu tư dự án Cải tạo, nâng cấp, mở rộng Bệnh viện Đa khoa tỉnh Quảng Nam, với tổng mức đầu tư dự án 210 tỷ đồng.
Ngày 16/12, thông tin từ Bộ Chỉ huy Bộ đội Biên phòng tỉnh Quảng Nam cho biết, lực lượng quân y Đồn Biên phòng Ga Ry (huyện Tây Giang, Quảng Nam) kịp thời cứu sống 3 người dân bị ngộ độc nấm rừng lạ.
Tối 3/11, Tiến sĩ, Bác sĩ Lê Đức Nhân, Giám đốc Bệnh viện Đà Nẵng cho biết, hiện bệnh viện đang tập trung chăm sóc, điều trị tích cực cho 9 bệnh nhân từ vụ nổ khí ga, trong đó có 3 bệnh nhân nguy kịch.
Thông tin từ lãnh đạo Sở Y tế tỉnh Quảng Nam, ngày 21/9, Viện Pasteur Nha Trang đã có thông báo kết quả kiểm nghiệm 12 mẫu thực phẩm và 1 mẫu phân liên quan đến vụ ngộ độc thực phẩm sau khi ăn bánh mỳ Phượng tại thành phố Hội An.
Chiều 14/9, lãnh đạo Sở Y tế tỉnh Quảng Nam cho biết, ghi nhận từ các cơ sở y tế, đến chiều nay, số người bị ngộ độc sau khi ăn bánh mỳ Phượng (Hội An) tăng lên 141 người; trong đó, có hơn 30 người nước ngoài.
Thông tin từ Sở Y tế Quảng Nam cho biết, đến cuối giờ chiều 13/9, số người nhập viện bị ngộ độc thực phẩm nghi do ăn bánh mỳ Phượng tại thành phố Hội An lên đến 91 người; trong đó, có 34 người nước ngoài.
Tính đến 18 giờ ngày 12/9, Sở Y tế tỉnh Quảng Nam ghi nhận 31 người nghi ngộ độc sau khi ăn bánh mỳ ở một tiệm trên đường Phan Chu Trinh, thành phố Hội An), trong đó 26 người điều trị tại bệnh viện.
Ngày 6/4, lãnh đạo Bệnh viện đa khoa khu vực miền núi phía bắc Quảng Nam cho biết, đến nay, 7/9 bệnh nhân bị ngộ độc thực phẩm liên quan đến món cá muối ủ chua tại huyện miền núi Phước Sơn (Quảng Nam) đã được xuất viện.
Ngày 31/3, Trung tâm Y tế thị xã Điện Bàn (Quảng Nam) cho biết, trên địa bàn thị xã vừa xảy ra vụ ngộ độc thực phẩm tại một trường tiểu học làm 18 học sinh phải nhập viện, điều trị.
Ngày 30/3, Trung tâm Y tế huyện Phước Sơn (Quảng Nam) cho biết, hiện đơn vị đang điều trị cho 2 bệnh nhân bị ngộ độc thực phẩm liên quan đến cá muối ủ chua.
Ngày 29/3, Đoàn Công tác của Viện Pasteur Nha Trang phối hợp với Chi Cục an toàn vệ sinh thực phẩm Quảng Nam tiến hành truy vết và lấy mẫu cá muối ủ chua trên địa bàn huyện Phước Sơn nhằm điều tra, giám sát, xử lý nguồn độc.
Giám đốc Sở Y tế Quảng Nam Mai Văn Mười cho biết, ngày 27/3, Viện Kiểm nghiệm an toàn vệ sinh thực phẩm quốc gia đã có văn bản trả lời kết quả kiểm nghiệm mẫu liên quan đến vụ ngộ độc thực phẩm tại huyện Phước Sơn (Quảng Nam).
Mười người ở huyện Phước Sơn (Quảng Nam) đã bị ngộ độc Botulinum, một loại độc tố do vi khuẩn Clostridium botulinum sinh ra trong môi trường kỵ khí (môi trường thiếu không khí) sau khi ăn cá chép muối ủ chua. Các cơ sở y tế đang tập trung điều trị tích cực cho những trường hợp phải vào bệnh viện cấp cứu và tuyên truyền bảo đảm vệ sinh an toàn thực phẩm cho người dân trên địa bàn.
Ngày 24/3, thông tin từ lãnh đạo Sở Y tế tỉnh Quảng Nam cho biết, bệnh nhân thở máy cuối cùng trong các vụ ngộ độc thực phẩm tại huyện Phước Sơn là Hồ Văn Đ. (57 tuổi, trú xã Phước Kim, huyện Phước Sơn) đã dừng thở máy, bệnh nhân ổn định, đã tự thở được.
Chiều 21/3, TS Mai Văn Mười, Giám đốc Sở Y tế tỉnh Quảng Nam cho biết, hiện sức khỏe các bệnh nhân bị ngộ độc thực phẩm đang điều trị tại Bệnh viện đa khoa khu vực miền núi phía bắc Quảng Nam tiến triển tốt, chỉ còn một người đang thở máy.
Chỉ sau gần 3 năm xảy ra vụ ngộ độc Pate Minh Chay khiến nhiều người tử vong liên quan tới vi khuẩn Clostridium Botulinum, mới đây, hàng loạt người dân tại Quảng Nam cũng ngộ độc nặng vi khuẩn này sau khi ăn cá chép muối chua.
Cục Quản lý khám, chữa bệnh đề nghị các cơ sở y tế tập trung mọi nguồn lực, nỗ lực, phối hợp tiếp tục cứu chữa người bệnh, tìm hiểu nguyên nhân 10 trường hợp người dân bị ngộ độc sau khi ăn cá chép muối ủ chua tại Quảng Nam.