Các nhà khoa học Bỉ vừa phát hiện một loại vi khuẩn tồn tại tự nhiên trong vùng mũi-họng có khả năng giúp cơ thể chống lại hội chứng hậu Covid-19 kéo dài, đồng thời góp phần giảm nguy cơ diễn tiến nặng của bệnh cúm.
Sáng 10/4, tại tỉnh Kon Tum, Ngân hàng thực phẩm Việt Nam và Hội Chữ Thập Đỏ tỉnh Kon Tum phối hợp ra mắt Câu lạc bộ thực phẩm cộng đồng Kon Tum (Food bank club Kon Tum) và chương trình hỗ trợ người yếu thế trên địa bàn tỉnh.
Covid-19 làm gia tăng những rối loạn tự miễn của con người. Nếu không được can thiệp sớm, con người sẽ phải đối mặt với nhiều bệnh lý tự miễn, nhiều biến chứng, chi phí điều trị tốn kém. Phát hiện, điều trị từ sớm là hướng đi có chi phí rẻ nhất mà các nhà khoa học khuyến cáo người dân sau đại dịch Covid-19.
Sáng 21/6, với chủ đề “Các vấn đề về sức khỏe tâm thần: Bạn không đơn độc”, Hội nghị Bộ trưởng ASEAN về thanh niên lần thứ 12 (AMMY XII) đã diễn ra theo hình thức trực tuyến dưới sự chủ trì của chủ nhà Malaysia.
Trong "tuần lễ vàng" kỳ nghỉ 1/5 đầu tiên sau khi hạ cấp phòng dịch, mở cửa trở lại, thị trường du lịch Trung Quốc đã ghi nhận sự bùng nổ chưa từng có, với lượng khách đi du lịch và doanh thu lập kỷ lục, cao hơn cả thời điểm chưa bùng phát dịch.
Ngày 5/4, lãnh đạo Sở Xây dựng tỉnh Bình Thuận cho biết, đơn vị vừa ban hành Công văn gửi các Sở: Tài nguyên và Môi trường; Thông tin và Truyền thông; Kế hoạch và Đầu tư; Ủy ban nhân dân các huyện, thị xã, thành phố cùng các cơ quan truyền thông của tỉnh về việc tăng cường công tác quản lý thị trường bất động sản trên địa bàn tỉnh Bình Thuận.
Đại sứ Philippines tại Việt Nam cho biết, nhờ chiến dịch tiêm chủng quyết đoán của Chính phủ, người dân ở Việt Nam đã có thể chuyển đổi an toàn và trở lại cuộc sống thường nhật trước đại dịch.
Ngày 25/11, tại Hà Nội, Trường Đại học Kinh tế quốc dân tổ chức hội thảo khoa học quốc tế Các vấn đề đương đại trong kinh tế, quản trị và kinh doanh (CIEMB) 2022 với sự tham dự của các học giả trong nước và quốc tế trong nhiều lĩnh vực nghiên cứu khác nhau.
Ngày 24/11, Hội Y học các nước Đông Nam Á (MASEAN) và Tổng Hội Y học Việt Nam phối hợp tổ chức Hội nghị trực tuyến “Chia sẻ kinh nghiệm trong MASEAN vượt qua Covid-19 và quản lý hậu Covid-19".
Thời gian gần đây, giá cả lương thực, thực phẩm, thuốc điều trị bệnh, sách giáo khoa, xăng dầu, viện phí, học phí… tăng liên tục, trong khi lương tối thiểu vùng đến nay chưa tăng. Lương tối thiểu vùng của người lao động sẽ chỉ tăng khoảng 6%, thấp hơn so với chỉ số trượt giá và tốc độ tăng GDP. Điều này khiến đời sống của hơn bốn triệu công nhân, lao động đang làm việc tại các khu chế xuất, khu công nghiệp vốn đã khó khăn càng khó khăn hơn.
Ngày 18/10, Liên đoàn Lao động tỉnh Long An tổ chức Hội nghị tuyên truyền kỷ niệm 92 năm Ngày thành lập Hội Liên hiệp Phụ nữ Việt Nam, 12 năm Ngày Phụ nữ Việt Nam với gần 300 đại biểu phụ nữ tham dự.
Sáng 28/9, tại Hà Nội, Trung ương Đoàn Thanh niên cộng sản Hồ Chí Minh, Trung ương Hội Liên hiệp thanh niên Việt Nam phối hợp tổ chức gặp gỡ báo chí để thông tin về Diễn đàn Thanh niên khởi nghiệp quốc gia năm 2022.
Tổn thương hệ hô hấp lâu sau nhiễm Covid-19, một nam bệnh nhân cứ nghĩ bản thân bị hậu Covid-19 mà không hề biết mình đã bị tổn thương cơ hoành nặng nề.
Ngày 23/8, Bí thư Thường trực Bộ Y tế Thái Lan Kiattiphum Wongrajit cho biết, Thái Lan đã được các quốc gia ASEAN lựa chọn làm nơi thành lập Trung tâm Các trường hợp y tế khẩn cấp và Bệnh dịch mới nổi ASEAN, nhằm tăng cường khả năng xử lý các trường hợp dịch tễ khẩn cấp và các bệnh dịch mới nổi trong khu vực.
Sau khi bị Covid-19, khoảng 17-18% trẻ có triệu chứng giảm chú ý, mất tập trung, mệt mỏi. Tình trạng này kéo dài từ 1-2 tuần đến hơn 12 tháng, ảnh hưởng đến học tập, giao tiếp xã hội của trẻ.
Ngày càng nhiều các nghiên cứu đã làm sáng tỏ về cơ chế bệnh sinh của Covid-19 nên việc dự phòng và điều trị cũng dễ dàng hơn. Tuy nhiên, đến thời điểm này, trong nhóm các bệnh truyền nhiễm, Covid-19 để lại nhiều ảnh hưởng nhất đối với sức khỏe của người dân.
Trước thông tin gần 30 trường hợp bị hoại tử vùng xương sọ mặt hậu Covid-19, Bộ Y tế đề nghị các bệnh viện cần sớm thành lập hội đồng chuyên môn xác định nguyên nhân gây bệnh để người dân chủ động đề phòng, tránh làm hoang mang, bất ổn trong xã hội.
Kết quả khảo sát trên 17.000 người dân từng nhiễm Covid-19 cho thấy, có 68% bệnh nhân có triệu chứng hậu Covid-19 kéo dài từ 2-5 tháng. Trong đó, tỷ lệ nữ giới có xu hướng bị Covid-19 kéo dài cao hơn nam giới.
Ngày 7/6, tại Hà Nội, Trung tâm Tư vấn Tình yêu-Hôn nhân-Gia đình (LMF, trực thuộc Trung ương Hội Liên hiệp Thanh niên Việt Nam) phối hợp các đơn vị liên quan tổ chức chương trình “Nâng cao năng lực thanh niên, sinh viên tiếp cận việc làm trong bối cảnh hậu Covid-19”.
Trẻ bị viêm kết mạc hậu Covid-19 thường có biểu hiện đỏ mắt ở các phần màu trắng của mắt, không gây khó chịu hoặc mắt có thể bị đau, cảm giác ngứa hoặc cộm, chảy nhiều nước mắt và rỉ mắt kèm nhức mắt.
Cựu F0 có thể gặp một loạt khó khăn liên quan đến khả năng suy nghĩ của mình (được gọi là "nhận thức"). Những khó khăn này có thể bao gồm các vấn đề về trí nhớ, chú ý, xử lý thông tin, lập kế hoạch và tổ chức. Đây còn được gọi là tình trạng sương mù não.
Dinh dưỡng và các vấn đề liên quan đến khứu giác, vị giác Covid-19 có thể ảnh hưởng đến sự thèm ăn và tình trạng dinh dưỡng của người bệnh sau khi khỏi Covid-19.
Hậu Covid-19, nếu mệt mỏi kéo dài kèm triệu chứng: Mệt mỏi sau khi làm việc gắng sức và kéo dài trên 24 giờ; Ngủ không yên giấc; Suy giảm trí nhớ hoặc khả năng tập trung; Đau cơ, đau nhiều khớp nhưng không sưng, nóng, đỏ; Đau họng hoặc loét miệng; đau đầu... thì cần khám tại cơ sở y tế.
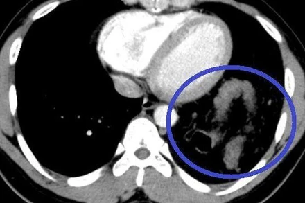
Xơ phổi vẫn có thể xảy ra ở những bệnh nhân Covid-19 nhẹ, điều trị ngoại trú, trẻ tuổi. Biểu hiện lâm sàng là những bệnh nhân này khó thở thường xuyên, tăng khi gắng sức, nặng hơn là phụ thuộc thở oxy, mệt mỏi, trên phim CT Scan ngực tổn thương xơ tiến triển ở mô kẽ kết hợp tổn thương kính mờ 2 phổi.