Tổn thương cơ hoành nhưng chủ quan nghĩ mắc hậu Covid-19

Tổn thương hệ hô hấp lâu sau nhiễm Covid-19, một nam bệnh nhân cứ nghĩ bản thân bị hậu Covid-19 mà không hề biết mình đã bị tổn thương cơ hoành nặng nề. 
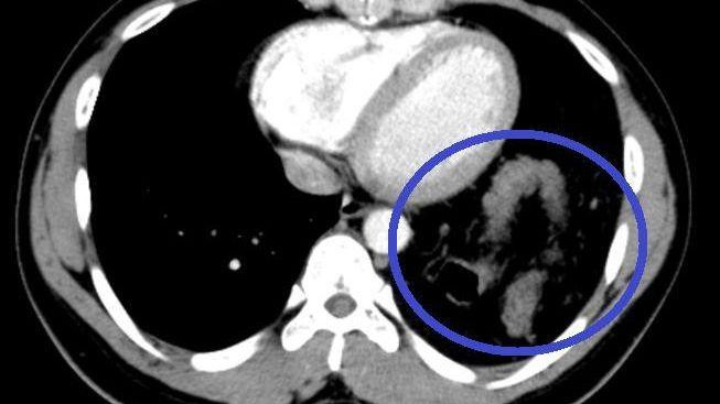
Đại tràng nằm trong ngực trái trên phim cắt lớp vi tính ngực.
Đại tràng nằm trong ngực trái trên phim cắt lớp vi tính ngực.

Bệnh nhân Đ.A.H, nam 25 tuổi với tiền sử khỏe mạnh. Hơn một năm trước, bệnh nhân bị tai nạn giao thông xe máy tự ngã, bị đập ngực trái xuống đường. Sau tai nạn, H. thấy đau tức ngực nhẹ, không khó thở nên không đi khám.

Trong thời gian tiếp theo, H. thấy cơ thể bình thường khi sinh hoạt lao động nhẹ, chỉ xuất hiện khó thở khi khuân vác các vật nặng.

Khoảng 5 tháng trước, H. bị mắc Covid-19 tự điều trị tại nhà. Tuy nhiên, sau khi khỏi bệnh, các triệu chứng ho và đau tức ngực vẫn tồn tại và có dấu hiệu nặng lên. Nghĩ mình bị hậu Covid-19 nên H. vẫn tự điều trị tại nhà. Tuy nhiên, một tháng trở lại đây, H. thấy đau tức ngực kèm ho và khó thở tăng lên.

Đoán rằng mình đang có vấn đề về đường hô hấp sau khi mắc Covid-19 nên H. đã đi khám chuyên khoa hô hấp tại Bệnh viện Bạch Mai. Sau quá trình khám xét, làm các xét nghiệm lâm sàng, bệnh nhân được khẳng định có thoát vị tạng bụng qua cơ hoành lên ngực trái. H. được chuyển tới Khoa Phẫu thuật Tiêu hóa-Gan mật tụy để tiến hành phẫu thuật.

Tại đây, bệnh nhân H. đã được chỉ định mổ nội soi để sửa tổn thương và phục hồi cơ hoành. Khi đưa máy soi vào ổ bụng, phẫu thuật viên nhận thấy gần toàn bộ đại tràng ngang, lách, dạ dày và mạc nối lớn đã chui qua cơ hoành lên khoang màng phổi bên trái.

Sau khi đưa các tạng trên trở lại ổ bụng, tổn thương cơ hoành bên trái lộ rõ là một lỗ khuyết rộng khoảng 6x8 cm. Đây chính là nguyên nhân gây ra thoát vị, kết hợp với tiền sử có chấn thương, chẩn đoán trong mổ là thoát vị hoành trái do vỡ cơ hoành.

Trong 90 phút, cơ hoành vỡ đã được các phẫu thuật viên khâu phục hồi kín. Sau mổ, bệnh nhân ổn định, hết đau ngực, khó thở, chụp phim X-quang kiểm tra thấy phổi nở tốt, không còn hình ảnh thoát vị. Bệnh nhân H. được ra viện sau 6 ngày với sẹo mổ rất nhỏ của phẫu thuật nội soi.

Đa dạng triệu chứng thoát vị hoành do chấn thương

Các phẫu thuật viên khoa Phẫu thuật Tiêu hóa-Gan mật tụy, Bệnh viện Bạch Mai, cho biết, thoát vị hoành do chấn thương là tình trạng một hoặc nhiều tạng nằm trong ổ bụng bị kéo lên ngực thông qua vết rách cơ hoành.

Cơ hoành bình thường là vách ngăn kín giữa lồng ngực và ổ bụng, có thể bị rách vỡ khi bị những chấn thương làm tăng áp lực đột ngột trong ổ bụng. Những trường hợp này chiếm khoảng 8% các trường hợp chấn thương nặng và phổ biến nhất ở nam thanh niên trong các vụ tai nạn giao thông.

Tỷ lệ chấn thương cơ hoành bên trái là 68%, bên phải là 24%. Điều này được lý giải bởi cơ hoành bên phải phần nào được che chắn bởi gan khi chấn thương nặng.

Tổn thương rách, vỡ cơ hoành có thể không dẫn đến thoát vị ngay lập tức, nhưng theo thời gian, áp lực âm trong lồng ngực sẽ kéo dần các tạng trong ổ bụng lên ngực qua chỗ rách cơ hoành nhỏ ban đầu, làm doãng rộng dần chỗ rách đó, dẫn đến chẩn đoán muộn trong khoảng 15% trường hợp. Có thể tìm thấy dạ dày, mạc nối, ruột non, đại tràng, lách và thậm chí cả thận trong thoát vị hoành do chấn thương.

Các triệu chứng trong thoát vị hoành do chấn thương có biểu hiện đa dạng. Khó thở là triệu chứng hay gặp nhất nhưng cũng rất mơ hồ.

Khó thở có thể xuất hiện từng cơn, không rõ hoàn cảnh khởi phát và tự thuyên giảm hoặc có khi liên quan đến bữa ăn, khi nằm. Đây là triệu chứng hay gặp trong các trường hợp nhẹ, tiến triển từ từ.

Đối với trường hợp chấn thương cơ hoành nặng, lỗ thoát vị lớn có thể gây khó thở dữ dội, thậm chí tử vong. Ngoài ra, bệnh nhân có thể có rối loạn tiêu hóa kiểu cơ năng như chán ăn, ăn ít, dễ buồn nôn, cảm giác đầy bụng.

Trường hợp đau dữ dội, trụy mạch phải nghĩ đến thoát vị hoành nghẹt, do tạng chui qua lỗ vỡ cơ hoành bị chỗ này thắt nghẹt lại gây thiếu máu nuôi tạng, nếu không phát hiện và xử trí cấp cứu kịp thời có thể dẫn đến hoại tử tạng, nhiễm trùng, nhiễm độc, suy hô hấp và tử vong.

Để chẩn đoán thoát vị cơ hoành do chấn thương khi có tiền sử bị chấn thương ở vùng ngực-bụng, nhiều khi đòi hỏi phải khai thác bệnh sử kỹ lưỡng thì mới có thể phát hiện bệnh.

Một số phương pháp chẩn đoán hình ảnh được chỉ định để chẩn đoán thoát vị hoành: Chụp X.quang: Dấu hiệu mất liên tục vòm hoành, có hình ảnh mức nước hơi của quai ruột trong lồng ngực; Chụp cắt lớp vi tính và cộng hưởng từ: Thấy vị trí gián đoạn của cơ hoành, hình ảnh các tạng thoát vị, giúp đánh giá được thể bệnh và đưa ra phương án điều trị phù hợp.

Khi đã có chẩn đoán thoát vị do vỡ cơ hoành, cần chỉ định phẫu thuật. Người bệnh sẽ được chỉ định phẫu thuật cấp cứu trong trường hợp có dấu hiệu nghẹt hoặc chèn ép ảnh hưởng đến hô hấp và tuần hoàn. Phẫu thuật nội soi là lựa chọn tối ưu vì ít xâm lấn, khả năng quan sát tốt, tính thẩm mỹ cao nhưng đòi hỏi phẫu thuật viên phải có kỹ năng, kinh nghiệm.

Có thể bạn quan tâm