#Nguy hiểm

32 kết quả

Đại tá Võ Duy Tuấn, Phó Giám đốc Công an tỉnh Đắk Lắk, Thủ trưởng Cơ quan Cảnh sát điều tra thông tin nội dung vụ việc tại buổi họp báo.
Tin chung

Khởi tố nguyên cán bộ Cảnh sát giao thông ở Đắk Lắk về tội danh “Không cứu giúp người đang ở trong tình trạng nguy hiểm đến tính mạng”

Cơ quan Cảnh sát Điều tra Công an tỉnh Đắk Lắk đã ra quyết định khởi tố vụ án, khởi tố bị can đối với cựu Thiếu tá N.Q.H, nguyên cán bộ Trạm Cảnh sát giao thông Krông Búk về tội danh “Không cứu giúp người đang ở trong tình trạng nguy hiểm đến tính mạng”, được quy định tại Khoản 2, Điều 132 Bộ luật Hình sự.

Ông Mai Văn Khiêm, Giám đốc Trung tâm Dự báo khí tượng thủy văn quốc gia thông tin về bão số 13.
Môi trường

[Video] Chuyên gia cảnh báo: Bão số 13 duy trì cường độ rất mạnh, nguy cơ lũ quét và sạt lở đất cao

Chiều 6/11, ông Mai Văn Khiêm, Giám đốc Trung tâm Dự báo khí tượng thủy văn quốc gia, cho biết, khi đổ bộ vào đất liền từ chiều tối đến đêm nay, bão số 13 vẫn duy trì cường độ rất mạnh, khoảng cấp 11-13, giật cấp 15-6. Đây là mức gió nguy hiểm, có khả năng gây thiệt hại lớn.

Bệnh nhi vẫn tiên lượng xấu.
Y tế

Bé gái 10 tuổi nguy kịch do uống nhầm thuốc diệt chuột

Thấy những ống thuốc màu trắng trông giống như các ống men tiêu hóa treo ở khu nhà vệ sinh, bé gái 10 tuổi tưởng là món đồ uống được nên đã lấy 1 ống uống. Ngay sau khi uống nhầm phải ống thuốc diệt chuột này, trẻ đã rơi vào tình trạng co giật, nhập viện trong tình trạng nguy kịch.

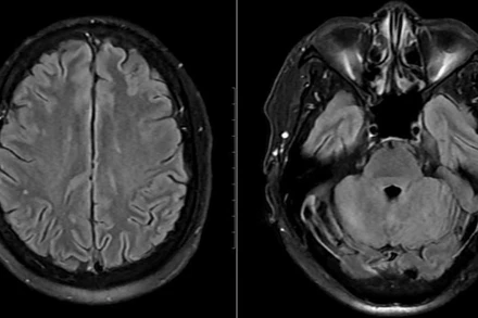
[Video] Vỡ mạch máu và tắc nghẽn: Hai nguyên nhân chính gây đột quỵ
Video

[Video] Vỡ mạch máu và tắc nghẽn: Hai nguyên nhân chính gây đột quỵ

Đột quỵ là tình trạng gián đoạn dòng máu đến não, có thể do tắc nghẽn (đột quỵ thiếu máu cục bộ) hoặc vỡ mạch máu (đột quỵ xuất huyết). Đột quỵ thiếu máu cục bộ gồm tắc mạch và huyết khối. Đột quỵ xuất huyết não nguy hiểm, thường liên quan đến huyết áp cao và có tỷ lệ tử vong cao.

[Video] Nghề báo - Một trong những nghề nguy hiểm nhất thế giới
Media Thế giới

[Video] Nghề báo - Một trong những nghề nguy hiểm nhất thế giới

Ngày 21/6 – Ngày Báo chí Cách mạng Việt Nam là dịp để tri ân những người làm báo đã và đang bền bỉ cống hiến cho sự thật. Nhưng giữa những lời chúc tụng, vẫn có một sự thật không dễ chấp nhận: nghề báo – đặc biệt với những phóng viên chiến trường – vẫn là một trong những nghề nguy hiểm nhất thế giới.

Công an quận Hoàn Kiếm triệu tập 10 đối tượng liên quan để xác minh, làm rõ sự việc.
Pháp luật

Xử lý dứt điểm tình trạng thanh, thiếu niên tụ tập đua xe gây nguy hiểm cho người tham gia giao thông

Liên quan đến vụ việc một nhóm thanh niên điều khiển xe mô-tô lạng lách, đánh võng gây tai nạn nghiêm trọng cho người tham gia giao thông tại Hà Nội, Đại tướng Lương Tam Quang, Ủy viên Bộ Chính trị, Bộ trưởng Công an đã có ý kiến chỉ đạo Công an thành phố Hà Nội tăng cường tuần tra kiểm soát, xử lý dứt điểm tình trạng thanh, thiếu niên tụ tập đua xe, lạng lách gây nguy hiểm cho người tham gia giao thông.
Ông Mai Văn Khiêm, Giám đốc Trung tâm Dự báo khí tượng thủy văn quốc gia cảnh báo người dân không được có tâm lý chủ quan với bão số 4.
Môi trường

Cần đề phòng hoàn lưu của bão, có thể gây dông lốc xoáy

Chia sẻ với báo chí những thông tin mới nhất về diễn tiến bão số 4 ông Mai Văn Khiêm, Giám đốc Trung tâm khí tượng thủy văn quốc gia nhiều lần nhắc về việc cảnh báo người dân không chủ quan với bão số 4, đồng thời, đặc biệt đề phòng hoàn lưu bão sẽ xuất hiện đợt dông lốc xoáy mạnh, nguy hiểm hơn cả gió giật mạnh do bão gây ra.
Bác sĩ chuyên khoa II Tạ Thùy Linh thăm khám cho người bệnh.
Y tế

Biến chứng nguy hiểm do điều trị sai cách tiểu đường type 1

Đái tháo đường type 1 xảy ra ở mọi lứa tuổi nhưng thường gặp ở trẻ em, thanh thiếu niên và người trẻ tuổi. Đây là một bệnh lý tự miễn, có nghĩa là hệ miễn dịch của chính cơ thể người bệnh tấn công và phá hủy một phần hoặc toàn bộ các tế bào sản xuất insulin của tuyến tụy.
Ảnh minh họa. (Nguồn: ndtv.com/TTXVN)
Môi trường

Động đất liên tiếp tại Kon Tum do nguyên nhân gì và có nguy hiểm không?

Tính từ Tết Nguyên đán Quý Mão 2023 tới nay, đã có 14 trận động đất có độ lớn trên 2,5 tại huyện Kon Plông (Kon Tum). Cá biệt, ngày 9/2 đã có tới 5 trận động đất liên tiếp tại khu vực này. Theo ông Nguyễn Xuân Anh, Viện trưởng Viện Vật lý địa cầu, động đất ở khu vực này là hiện tượng động đất kích thích do các hồ chứa thủy điện gây ra.
Hố cống được đơn vị thi công che chắn bằng những tấm ván sơ sài.
Xã hội

Tiền Giang: Hàng loạt hố cống trên vỉa hè không có nắp đậy

Vụ việc thương tâm xảy ra tại tỉnh Đồng Tháp khi bé trai 10 tuổi lọt xuống ống cọc bê-tông chưa làm các đơn vị thi công các công trình thức tỉnh. Mới đây, bạn đọc tại thị xã Gò Công, tỉnh Tiền Giang phản ánh, hàng loạt hố cống trên vỉa hè, tuyến đường đang thi công không có nắp đậy, gây nguy hiểm cho người dân, đặc biệt là trẻ nhỏ.
Nhân viên của Tổng đài điện thoại quốc gia bảo vệ trẻ em 111. (Ảnh: nhandan.vn)
Xã hội

Đề xuất 4 nghề về xã hội là công việc nặng nhọc, độc hại, nguy hiểm

Dự thảo Danh mục bổ sung nghề, công việc nặng nhọc, độc hại, nguy hiểm và nghề, công việc đặc biệt nặng nhọc, độc hại, nguy hiểm đang lấy ý kiến đề xuất 4 nghề/công việc nặng nhọc, độc hại, nguy hiểm của lĩnh vực thương binh-xã hội. Đây là những công việc trong điều kiện lao động loại IV, với những đặc điểm lao động đặc thù.
Bão tan
Tri thức chuyên sâu

Bão tan

Bão đổ bộ rồi bão tan, nhưng không có nghĩa như vậy là kết thúc phòng, chống bão. Bởi khi bão tan vẫn còn rất nhiều hình thái thiên tai khác gây thiệt hại có khi còn lớn hơn cả khi bão đổ bộ. Như mưa lớn sau bão, lũ dâng cao, lũ quét, sạt lở đất… Để hiểu rõ hơn về vấn đề này, Báo Nhân Dân xin giớp thiệu bộ phim ngắn: Bão tan.
PGS, TS Lương Ngọc Khuê phát biểu tại hội thảo.
Y tế

Tỷ lệ hút thuốc lá điện tử có xu hướng tăng

Theo Điều tra tình hình sử dụng thuốc lá tại 34 tỉnh, thành phố năm 2020, tỷ lệ hút thuốc lá điện tử ở người trưởng thành có xu hướng tăng, từ 0,2% năm 2015 lên 0,7% năm 2020, trong đó, nam giới tăng từ 0,4% năm 2015 lên 1,2% năm 2020. 

Một số hình ảnh tại dự một số vị trí tủ điện, hố ga đã bị kẻ gian tháo gỡ lấy cắp.
Xã hội

Cần điều tra, ngăn chặn nạn trộm cắt thiết bị điện các công trình xây dựng tại Phú Yên

Ban Quản lý dự án Đầu tư và xây dựng tỉnh Phú Yên, cho biết, thời gian gần đây kẻ gian đã liên tục lấy cắp các thiết bị hạ tầng, tại Dự án kè chống sạt lở bờ tả sông Ba kết hợp hạ tầng đô thị đoạn từ cầu Đà Rằng mới đến cầu Đà Rằng cũ, thuộc hai xã Bình Ngọc, thành phố Tuy Hòa và Hòa An, huyện Phú Hòa (Phú Yên). 

Bệnh nhi đang được điều trị vì cúm A.
Y tế

Biến chứng mới rất nguy hiểm với trẻ nhỏ mắc cúm mùa

Trong hơn hai tháng qua, Trung tâm Bệnh nhiệt đới trẻ em - Bệnh viện Nhi Trung ương tiếp nhận tới 820 trẻ nhập viện vì bị cúm nặng, trong đó có những bệnh nhi bị biến chứng viêm phổi, viêm não. Đặc biệt, gần đây bắt đầu xuất hiện những ca mắc cúm có biến chứng viêm cơ tim.