Liên tiếp ghi nhận ca biến chứng thẩm mỹ
Khoa Phẫu thuật Tạo hình Thẩm mỹ, Bệnh viện Hữu nghị Việt Đức vừa cấp cứu 2 trường hợp tai biến nghiêm trọng do tiêm filler làm đẹp, trong đó có 1 người tiêm ở nước ngoài.
Chị Đ.T.N (30 tuổi, Hà Tĩnh) hiện đang sống và làm việc ở Nhật Bản. Cách đây ít ngày, để có vầng trán đẹp, chị tiêm filler vào trán và thái dương tại một cơ sở spa tại Nhật Bản. Khi mới tiêm 0,5cc vào giữa trán chị đã cảm thấy sụp mí, hoa mắt, chóng mặt và nôn mửa.
Ngay lập tức chị được tiêm thuốc giải nhưng vẫn cảm thấy khó chịu, nôn nao không đỡ. Chị có đến bệnh viện kiểm tra, được bác sĩ khám và không can thiệp, cho về nhà theo dõi.
Ngày hôm sau chị thấy mắt phù nề, sưng đỏ, tiếp tục đến bệnh viện để cấp cứu, lúc đó mắt đã không còn nhìn thấy rõ. Nhận thấy tình trạng chuyển biến nặng rất nhanh, gần như mù toàn bộ, chị quyết định đặt vé trở về Việt Nam.
Nữ bệnh nhân đến khám tại đến Bệnh viện Mắt Trung ương, sau đó chuyển đến Bệnh viện Việt Đức.
Phó Giáo sư, Tiến sĩ Nguyễn Hồng Hà, Trưởng khoa Phẫu thuật Tạo hình Thẩm mỹ, Bệnh viện Việt Đức cho biết, đây là ca tai biến rất nặng và bệnh nhân đến viện muộn, sau 6 ngày tiêm filler.
"Bệnh nhân đã có biến chứng đến hệ mạch máu của mắt, dẫn đến mất thị lực mắt phải, kèm dấu hiệu hoại tử cơ và tổ chức quanh nhãn cầu. Do người bệnh đã bị lỡ mất "thời gian vàng" nên để phục hồi thị lực là cực kỳ khó khăn. Chúng tôi đã can thiệp bằng phương pháp hiện đại nhất để giúp cô gái tìm thấy ánh sáng", bác sĩ Hà chia sẻ.
![]() |
| Phó Giáo sư, Tiến sĩ Nguyễn Hồng Hà tư vấn cho người bệnh. |
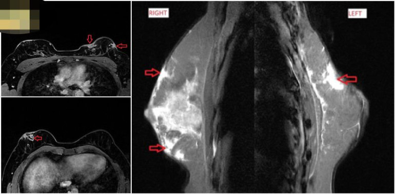
Trường hợp thứ hai phải nhập viện cấp cứu cùng thời điểm là chị N.C.T (31 tuổi, Quảng Nam). Chị này vào viện trong tình trạng bị áp xe hai bên ngực do tiêm filler nâng ngực
Trước đó, qua mạng xã hội, chị T thấy một thẩm mỹ viện quảng cáo phương pháp tiêm filler nâng ngực nhanh chóng, hiệu quả nên đã tìm đến. Sau tiêm, chị thấy nổi các khối lổn nhổn trong ngực và thường xuyên sưng đau.
Sau 3 năm tiêm filler, chị đã đến bệnh viện để làm gói tầm soát ung thư. Tại đây, các bác sĩ nói ngực không rõ có ung thư hay nhân xơ, mà có các khối "u filler". Chị T. muốn sinh thêm em bé nhưng do không xác định được chất đã được bơm vào ngực chị lúc trước, nên bác sĩ khuyên chị làm phẫu thuật lấy các khối filler, nhưng phải làm ở bệnh viện tuyến trung ương.
Tuy nhiên, chị T lại tìm tới thẩm mỹ viện để hút filler. Sau can thiệp hút filler, chị T có biểu hiện đau tức, sốt cao, dùng kháng sinh không đỡ. Lúc này, vì quá đau đớn và lo sợ chị mới tới Bệnh viện Hữu nghị Việt Đức.
Theo Phó Giáo sư, Tiến sĩ Nguyễn Hồng Hà, chị T. đến viện trong tình trạng nhiễm trùng, nhiễm độc, được chẩn đoán áp xe ngực với các khối u filler khắp 2 tuyến vú, có khả năng vi khuẩn đã xâm nhập qua các lần tiêm và hút filler.
"Biểu hiện sốt rét run của chị T báo hiệu các khối áp xe sắp có nguy cơ vỡ nếu vào phổi sẽ gây nguy hiểm tính mạng. Chúng tôi đã nhanh chóng phẫu thuật lấy chất làm đầy ra khỏi cơ thể người bệnh", bác sĩ Hà nói.
Vừa qua, Bệnh viện đa khoa Medlatec cũng vừa tiếp nhận bệnh nhân nữ N.N.V (42 tuổi, Thái Nguyên) nhiễm trùng da mô mềm do vi khuẩn NTM sau phẫu thuật nâng ngực bằng mỡ tự thân. Sau 2 tháng nâng ngực thấy có biểu hiện lạ, chị đã thăm khám tại cơ sở y tế địa phương, được chẩn đoán nhiễm trùng da mô mềm nhưng quá trình điều trị bằng kháng sinh không thuyên giảm.
Chị V. đến Medlatec khám trong tình trạng đau, sưng nề, mưng mủ trầm trọng hai bên ngực. Kết quả siêu âm và chụp cộng hưởng từ của bệnh nhân cho thấy hình ảnh các ổ dịch viêm, áp xe rải rác tuyến vú hai bên. Đồng thời, bệnh nhân được chọc dịch ổ áp xe lấy mẫu bệnh phẩm xét nghiệm, kết quả dương tính với vi khuẩn NTM. Bác sĩ chẩn đoán xác định chị V. nhiễm trùng da mô mềm do vi khuẩn Mycobacterium fortuitum - một loài vi khuẩn lao không điển hình (NTM).
Bác sĩ nội trú Trần Hữu Đạt, Phòng Vi sinh, Trung tâm Xét nghiệm Medlatec cho biết, tỷ lệ nhiễm trùng da mô mềm do NTM đang ngày càng gia tăng. Tình trạng này thường bị bỏ qua do triệu chứng không điển hình và bác sĩ không chỉ định thường quy các xét nghiệm chẩn đoán NTM. Đồng thời, điều trị NTM khác hoàn toàn với các nhiễm trùng do vi khuẩn thông thường khác, do NTM có tỷ lệ kháng thuốc cao, tính dung nạp thuốc kém, phác đồ điều trị rất dài và cần phối hợp nhiều thuốc.
![]() |
| Biến chứng thẩm mỹ sau tiêm mỡ tự thân. |
Theo bác sĩ Đạt, nguyên nhân dẫn tới tình trạng nhiễm trùng của chị V. có thể do quá trình thực hiện phẫu thuật không bảo đảm các quy trình kiểm soát nhiễm khuẩn.
"Trường hợp này vấn đề thẩm mỹ không còn đặt lên hàng đầu mà trước mắt cần giải quyết tình trạng nhiễm trùng cho bệnh nhân, phòng tránh tai biến sốc nhiễm khuẩn, đe dọa nghiêm trọng đến tính mạng", bác sĩ Đạt nói.
Cảnh báo làm đẹp ở những cơ sở không uy tín
Trường hợp người bệnh từ Nhật Bản về, sau 6 ngày can thiệp mạch, mắt phải của nữ bệnh nhân mới có chuyển biến nhẹ, đã có thể vận động nhãn cầu nhẹ nhàng theo yêu cầu của bác sĩ. Tuy nhiên, bác sĩ Hà nhấn mạnh, bệnh nhân còn phải điều trị lâu dài và có hồi phục được thị lực hay không vẫn còn khó khăn.
Với trường hợp nâng ngực bằng mỡ tự thân, nhờ kỹ thuật lấy mẫu bệnh phẩm để làm xét nghiệm chẩn đoán hiện đại được áp dụng tại Medlatec, sau khi phát hiện đích danh căn nguyên gây bệnh do vi khuẩn NTM, chuyên gia đầu ngành và ê-kíp bác sĩ đã kịp thời xử trí dẫn lưu dịch và điều trị phác đồ kháng sinh nghiêm ngặt. Sau 1 tháng, tình trạng nhiễm trùng của bệnh nhân hết hoàn toàn, kết quả xét nghiệm vi sinh không phát hiện vi khuẩn.
Phó Giáo sư, Tiến sĩ Nguyễn Hồng Hà khuyến cáo, filler rởm, filler nhập lậu rất nhiều trên thị trường, chị em muốn làm đẹp nhưng lại không đến cơ sở y tế được cấp phép, mà chọn spa, thẩm mỹ viện hoạt động tiêm filler trái phép để thực hiện các thủ thuật.
"Khi người tiêm filler không phải là bác sĩ chuyên khoa, không có kiến thức về tạo hình thẩm mỹ và nhất lại chỉ là nhân viên spa tiêm filler thì nguy cơ tiêm vào các nhánh mạch máu quanh ổ mắt rất cao. Lúc đó, người bệnh có nguy cơ mù loà, hoặc tắc mạch não gây đột quỵ, nguy hiểm đến tính mạng", bác sĩ Hà chia sẻ.
Bên cạnh đó, do các cơ sở trái phép thực hiện tiêm filler nên dụng cụ không được khử trùng theo đúng quy định, dẫn đến vi khuẩn xâm nhập gây nhiễm trùng, áp xe, hoại tử, thậm chí tử vong bởi đã có trường hợp bị nhiễm vi khuẩn kháng thuốc.
Do vậy, khi làm đẹp, chị em phải đến các cơ sở y tế uy tín, được cấp phép, có bác sĩ chuyên môn thực hiện, mới bảo đảm an toàn.

