Cứu sống bệnh nhân người Hàn Quốc bị chảy máu dưới nhện nguy kịch

Sau hơn một giờ đấu trí căng thẳng và 12 ngày hồi sức tích cực, các bác sĩ Bệnh viện Bạch Mai đã cứu sống bệnh nhân Bae Hyo Nam (quốc tịch Hàn Quốc) được chẩn đoán chảy máu dưới nhện thể rất nặng. 

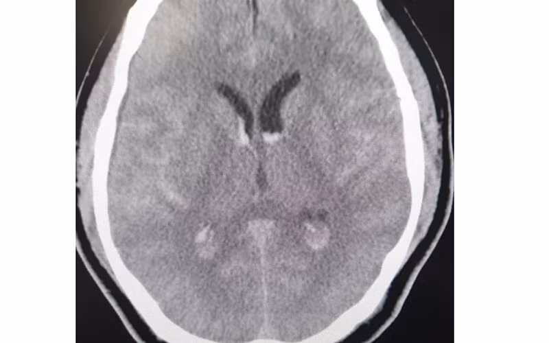
Hình ảnh phim chụp xuất huyết dưới nhện lan tỏa - tụ máu não thất.
Hình ảnh phim chụp xuất huyết dưới nhện lan tỏa - tụ máu não thất.

PGS, TS Mai Duy Tôn - Giám đốc Trung tâm Đột quỵ, Bệnh viện Bạch Mai cho biết, bệnh nhân Bae Hyo Nam 46 tuổi, người Hàn Quốc, đã sang sinh sống và làm việc tại Việt Nam được bảy năm. Bệnh nhân là chủ của một công ty lớn tại Việt Nam chuyên sản xuất phụ kiện điện thoại Samsung và phụ kiện xe ô-tô.

Ngày 9-12-2020, bệnh nhân cùng nhóm đối tác đang chơi gôn ở Hòa Bình, đột ngột đau đầu dữ dội, buồn nôn và nôn nhiều. Bệnh nhân được đưa vào cấp cứu tại Bệnh viện tỉnh Hòa Bình, được chụp CT sọ não và chẩn đoán: chảy máu dưới nhện và được chuyển lên Trung tâm Đột quỵ, Bệnh viện Bạch Mai.

Ngay khi tiếp nhận, các bác sĩ Trung tâm Đột quỵ đã nghi ngờ nguyên nhân chảy máu dưới nhện là do dị dạng mạch não. Bệnh nhân được đi chụp CTA - chụp mạch não phát hiện: chảy máu dưới nhện lan tỏa - chảy máu não thất do vỡ phình lóc tách động mạch đốt sống phải đoạn V4. Đây là một tổn thương có vị trí khó, phức tạp và tinh vi, thường cần một bác sĩ chẩn đoán hình ảnh chuyên sâu và nhiều kinh nghiệm mới chẩn đoán được.

Các bác sĩ nhận định đây là một ca đột quỵ nặng, nguy cơ vỡ thì 2 rất cao và bệnh nhân sẽ tử vong nếu không được can thiệp cấp cứu. Ngay lập tức bệnh nhân được hội chẩn đa chuyên khoa: Trung tâm Đột quỵ, Trung tâm Điện quang, Khoa Phẫu thuật thần kinh thống nhất: tiến hành can thiệp Điện quang cấp cứu, có chuyên khoa Phẫu thuật thần kinh chuẩn bị sẵn sàng - phòng biến chứng vỡ thì 2 sẽ mổ cấp cứu.

Bệnh nhân được đưa vào phòng can thiệp mạch không một phút giây chần chừ. Vị trí mạch máu não tổn thương là một vị trí rất nguy hiểm, can thiệp rất khó khăn, và có nguy cơ biến chứng nhồi máu vùng thân não rất cao.

Sau hơn một giờ căng thẳng, đấu trí ca can thiệp đã thành công. Bệnh nhân được đưa về phòng hồi sức tích cực của Trung tâm Đột quỵ.

Can thiệp mạch xong nhưng đó chỉ là một bước trong nhiều bước điều trị toàn diện cho bệnh nhân chảy máu dưới nhện - chảy máu não thất. Những ngày sau Trung tâm Đột quỵ phối hợp với Trung tâm Phục hồi chức năng tiến hành điều trị và phục hồi chức năng sớm, ngay tại giường cho bệnh nhân.

Sau 12 ngày tích cực điều trị, được tập thể y, bác sĩ nhiệt tình điều trị và chăm sóc, tình trạng bệnh nhân đã dần ổn định và tiến triển tốt. Bệnh nhân tỉnh táo, giao tiếp được, tự thở, huyết động ổn định.

Ngày 21-12-2020, bệnh nhân được chuyển sang Bệnh viện Vinmec để tiếp tục điều trị. Sau năm tuần điều trị tại Bệnh viện Vinmec, bệnh nhân được chuyển đến Viện Y học cổ truyền Bộ Công an để điều trị và phục hồi chức năng. Đến nay bệnh tình của bệnh nhân đã dần bình phục và ngày 17-2, bệnh nhân đã xin về quê hương Hàn Quốc để tiếp tục điều trị và phục hồi chức năng.

Đánh giá về ca bệnh này, PGS, TS Mai Duy Tôn - Giám đốc Trung tâm Đột quỵ, Bệnh viện Bạch Mai chia sẻ: Trong những trường hợp như thế này, việc tiên lượng, đánh giá đúng tình trạng bệnh nhân, khẩn trương đưa ra phương án xứ trí kịp thời, hợp lý là điều kiện tiên quyết để cứu sống bệnh nhân.

"Ca can thiệp mạch thành công, bệnh nhân được cứu sống và dần hồi phục các chức năng sau cơn đột quỵ nặng là kết quả của sự phối kết hợp hiệu quả, đầy trách nhiệm của các thầy thuốc Trung tâm Đột quỵ, Trung tâm Điện Quang, Khoa Phẫu thuật Thần kinh và Trung tâm Phục hồi chức năng - Bệnh viện Bạch Mai. Đây cũng là lợi thế trong việc phối hợp nhiều chuyên khoa để cấp cứu, điều trị cho những trường hợp nguy kịch mà hiện nay được triển khai thường quy tại Bạch Mai", BS Tôn nói. 

Trong lá thư cảm ơn gửi tới tập thể y, bác sĩ Trung tâm Đột quỵ, bệnh nhân Bae Hyo Nam viết: “Hôm nay tôi viết thư này xin bày tỏ tấm lòng biết ơn sâu sắc đến các vị lãnh đạo, các bác sĩ, y tá, điều dưỡng của Trung tâm Đột quỵ, Bệnh viện Bạch Mai đã chăm sóc và tận tình điều trị bệnh cứu sống tôi. Một lần nữa tôi xin được cảm ơn và kính chúc sức khỏe tới các vị lãnh đạo, bác sĩ, y tá, điều dưỡng và toàn bộ nhân viên Trung tâm Đột quỵ, Bệnh viện Bạch Mai. Xin chúc bệnh viện ngày càng đạt nhiều thành tựu trong công tác cứu chữa người bệnh”.

Có thể bạn quan tâm