Ngày 28/5, Bệnh viện K (Bộ Y tế) cho biết, Khoa Ngoại Lồng ngực vừa tiếp nhận và điều trị thành công cho một trường hợp bệnh nhân nam (74 tuổi) với khối u tân sinh phức tạp trong lồng ngực, tại phế quản phổi.
Phát hiện sớm ung thư phổi có ý nghĩa rất quan trọng, người bệnh hoàn toàn có thể điều trị khỏi bằng phẫu thuật với chi phí hợp lý, hiệu quả và không quá tốn kém. Ngược lại, nếu bệnh được phát hiện ở giai đoạn muộn, đặc biệt khi đã có di căn, tiên lượng sẽ xấu hơn và việc điều trị cũng tốn kém hơn rất nhiều.
Trong bối cảnh số người mắc ung thư phổi gia tăng thì việc nâng cao nhận thức đối với các nhóm nguy cơ và việc chủ động tầm soát đóng vai trò quan trọng. Nhiều ý kiến cho rằng, cần có chương trình sàng lọc ung thư phổi mang tính hệ thống, hướng tới lồng ghép vào các chương trình mục tiêu quốc gia.
Hiện khoảng 70% bệnh nhân ung thư phổi tại Việt Nam được phát hiện khi bệnh đã ở giai đoạn muộn, khiến việc điều trị gặp nhiều khó khăn và chi phí rất lớn. Trong khi đó, căn bệnh này hoàn toàn có thể được phát hiện sớm nếu người dân được tầm soát định kỳ.
Ung thư phổi không còn xa lạ tại Việt Nam nhưng vẫn được ví như “sát thủ thầm lặng” khi âm thầm tiến triển và chỉ bộc lộ rõ ở giai đoạn muộn. Điều đáng lo ngại là ngay cả những tổn thương rất nhỏ, chỉ dưới 1cm, cũng có nguy cơ ác tính cao.
Các bác sĩ Trung tâm Y học hạt nhân và Ung bướu (Bệnh viện Bạch Mai) vừa ghi nhận một trường hợp bệnh nhân ung thư phổi giai đoạn muộn được điều trị bằng thuốc TKIs thế hệ I từ năm 2017 đến nay với thời gian ổn định bệnh kéo dài tới 6 năm.
Ngày 10/1, Bệnh viện 19-8 (Bộ Công an) tổ chức Hội nghị khoa học quốc tế "Nội soi siêu âm phế quản (EBUS)" với sự tham gia đào tạo và chuyển giao kỹ thuật của Tiến sĩ, bác sĩ Masao Hashimoto, Khoa Hô hấp, Bệnh viện Trung tâm Quốc gia về sức khỏe và y khoa toàn cầu tại Nhật Bản.
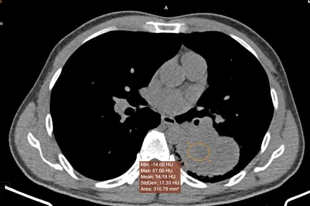
Việc ứng dụng AI vào phân tích, xác suất nốt kính mở ở thùy trên phổi trái trên phim chụp CT là tổn thương ác tính khoảng 97%, bệnh nhân được chẩn đoán ung thư phổi và được can thiệp ngay từ sớm.
Việc phát hiện và điều trị bệnh ung thư phổi ở giai đoạn sớm đóng vai trò then chốt, giúp cải thiện đáng kể tiên lượng và chất lượng cuộc sống cho người bệnh. Vì thế, đòi hỏi cần phải xây dựng chương trình tầm soát cộng đồng với ung thư phổi.
Mới đây, Bệnh viện K đã thực hiện phẫu thuật điều trị thành công cho một trường hợp ung thư phổi giai đoạn sớm. Đáng chú ý, đây là trường hợp người bệnh cao tuổi, có tiền sử hút thuốc lá lâu dài với tần suất nhiều.
Phần lớn những người hút thuốc nhận thức được sự nguy hiểm của hút thuốc lá và hầu hết đều muốn bỏ thuốc, nhưng không phải ai cũng làm được. Trong khi đó, tư vấn và dùng thuốc hỗ trợ có thể tăng gấp đôi cơ hội cai được thuốc lá thành công.
Ngày 11/4 tại Hà Nội, Viện Nghiên cứu Phòng, chống Ung thư (Bệnh viện K) tổ chức hội thảo chuyên đề “Sàng lọc ung thư phổi: Kinh nghiệm quốc tế và định hướng tại Việt Nam”.
Khoảng 75% người bệnh được phát hiện mắc ung thư phổi ở giai đoạn muộn, khiến tỷ lệ sống sau 5 năm chỉ đạt khoảng 14,8%. Việc tầm soát sớm các bệnh lý phổi rất quan trọng để có chiến lược điều trị kịp thời, nâng cao chất lượng sống cho người dân.
Mặc dù tỷ lệ phơi nhiễm với khói thuốc thụ động đã giảm đáng kể trong thời gian qua, nhưng hút thuốc lá thụ động vẫn đang là nguyên nhân gây ra khoảng 18.800 ca tử vong.
Ngày 16/5, Cơ quan Quản lý thực phẩm và dược phẩm (FDA) của Mỹ đã phê duyệt nhanh thuốc Tarlatamab của công ty dược phẩm Amgen, một liệu pháp miễn dịch điều trị cho những người trưởng thành mắc ung thư phổi tế bào nhỏ ở giai đoạn cuối dù bệnh nhân đã thực hiện hóa trị trước đó.
Sau một tháng ho khan, nam bệnh nhân có tiền sử 30 năm hút thuốc lá đến viện trong tình trạng đau đầu, chóng mặt, tê tay và được phát hiện mắc ung thư phổi di căn não.
Sáng 28/1, Trung ương Hội Thầy thuốc trẻ Việt Nam tổ chức Lễ sơ kết Chương trình Chuyển đổi số vì sức khỏe phổi và công bố Nền tảng sàng lọc bệnh phổi và các bệnh không lây nhiễm ứng dụng trí tuệ nhân tạo (AI); ký kết hợp tác giữa Hội Thầy thuốc trẻ Việt Nam và Công ty trách nhiệm hữu hạn AstraZeneca Việt Nam, giai đoạn 2024-2029.
Tiếp nối thành công của chương trình "Chuyển đổi số vì sức khỏe phổi" tại Thành phố Hồ Chí Minh thời gian qua, Trung ương Hội Thầy thuốc trẻ Việt Nam phối hợp các đơn vị liên quan triển khai chuỗi hoạt động sàng lọc các bệnh lý về phổi cũng như ung thư phổi cho người dân Thủ đô Hà Nội và các thành phố: Đà Nẵng, Cần Thơ và tỉnh Thừa Thiên Huế trong thời gian từ nay đến hết tháng 1/2024.
Chiều 15/12, tại Hà Nội, Trung ương Hội Liên hiệp Thanh niên Việt Nam, Trung ương Hội Thầy thuốc trẻ Việt Nam phối hợp các đơn vị liên quan tổ chức Gặp gỡ báo chí thông tin về chương trình "Chuyển đổi số vì sức khỏe phổi".
Thời gian qua, các bộ, ngành, địa phương đã đẩy mạnh các hoạt động nhằm nâng cao nhận thức của người dân về tác hại của việc sử dụng thuốc lá; thực thi các quy định của Luật Phòng, chống tác hại thuốc lá.
Ngày 22/9, AstraZeneca cho biết, đơn vị đạt được những bước tiến cụ thể trong việc phát triển các thuốc điều trị ung thư phổi đang có mặt trong thực hành lâm sàng và các thuốc đang trong quá trình nghiên cứu tại Hội nghị thế giới về Ung thư phổi (WCLC) 2023 của Hiệp hội Nghiên cứu ung thư phổi quốc tế (IASLC), được tổ chức tại Singapore từ ngày 9 đến ngày 12/9/2023.
Với thông điệp “ Tầm soát ngay, sớm chữa lành”, “Thương phổi-Love your lungs” - Chiến dịch truyền thông nhằm tăng cường nhận thức cộng đồng về căn bệnh ung thư phổi năm 2023 đã chính thức được phát động vào ngày 13/8, tại quảng trường Đông Kinh Nghĩa Thục, Hà Nội.
Nỗ lực hạn chế sử dụng thuốc lá trên toàn cầu đã gặt hái được thành quả tích cực khi tỷ lệ hút thuốc giảm đáng kể. Tuy nhiên, hành trình bảo vệ người dân khỏi "kẻ giết người" nguy hiểm này vẫn đối mặt nhiều thách thức, nhất là khi thuốc lá điện tử ngày càng phổ biến.
Gần 1.000 đại biểu là các thầy thuốc, nhà nghiên cứu về ung thư, sinh học phân tử, y học hạt nhân... đến từ các bệnh viện hàng đầu trong cả nước đã tham gia Hội nghị khoa học "Cập nhật tiến bộ trong sinh học phân tử, chẩn đoán và điều trị ung thư phổi", do Bệnh viện Bạch Mai tổ chức trong hai ngày 9 và 10/3.
Theo công bố mới đây về đồng thuận của các chuyên gia y tế trên Tạp chí Ung thư lồng ngực (Journal of Thoracic Oncology), việc thay đổi hình thức chẩn đoán và điều trị bệnh ung thư phổi không tế bào nhỏ tại Việt Nam và châu Á là rất cấp thiết để đáp ứng tốt hơn đặc điểm của bệnh nhân trong khu vực.
Thuốc lá thế hệ mới ra đời với mục đích hướng đến việc tìm ra giải pháp giảm thiểu tác hại thay thế cho thuốc lá truyền thống, nhưng mức độ ảnh hưởng của sản phẩm này đến sức khỏe con người còn nhiều điểm cần xác thực.
Sự phối hợp liên ngành trong công tác kiểm tra, thanh tra để xử phạt vi phạm Luật Phòng chống tác hại thuốc lá còn rất hạn chế, chủ yếu do ngành y tế đề xuất và thực hiện.
Theo thống kê, có đến hơn 80% các trường hợp ung thư phổi có liên quan đến khói thuốc lá. Trong thuốc lá có đến hơn hai nghìn chất độc hại dẫn đến sự tăng sinh bất thường của tế bào.
Theo Cục Quản lý Khám, chữa bệnh, Bộ Y tế, trong giai đoạn 2021 - 2023, chương trình "Vì lá phổi khỏe" sẽ hỗ trợ Việt Nam thiết lập Trung tâm quản lý ngoại trú bệnh hen và bệnh phổi tắc nghẽn mãn tính, Trung tâm thực hành lâm sàng đạt chuẩn trong chẩn đoán và điều trị bệnh ung thư phổi.