Ngành côn trùng học đang đóng vai trò quan trọng trong y tế dự phòng và bảo vệ sức khỏe cộng đồng tại Việt Nam. Trong bối cảnh biến đổi khí hậu và đô thị hóa, nghiên cứu côn trùng học không chỉ giúp dự báo dịch bệnh, xác định vùng nguy cơ mà còn là nền tảng để xây dựng các chiến lược phòng, chống hiệu quả.
Thấy vết ngứa sưng to, lan rộng, nặn được mủ, người đàn ông 43 tuổi cố gắng nặn tiếp thì phát hiện ra giun ký sinh dài chừng 70cm ở chân. Sau hai lần tự rút được giun ra khỏi chân, anh mới chịu tới viện khám và điều trị.
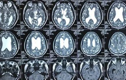
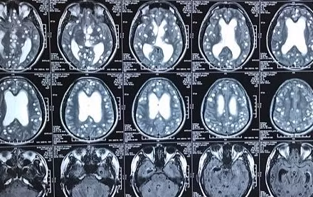
Với thói quen ăn gỏi cá, tiết canh, nem thính, thịt tái, người đàn ông phải nhập viện trong tình trạng đau đầu liên tục. Kết quả chẩn đoán bệnh nhân bị tổn thương não do ký sinh trùng (nang sán thần kinh Neurocysticercosis).
Ký sinh trùng nghi ngờ dài gần 10cm gây ra tình trạng nhức mắt kéo dài, cảm giác cộm như có dị vật, chảy nước mắt liên tục và ngứa râm ran cho một nữ bệnh nhân.
Chó nuôi trong nhà từng nôn ra sán nhưng gia đình vẫn chủ quan và không có biện pháp bảo vệ bản thân, một người trong gia đình nhiễm giun đũa chó mèo và phải nhập viện điều trị.
Tiến sĩ, bác sĩ Hoàng Đình Cảnh, Viện trưởng Viện Sốt rét Ký sinh trùng-Côn trùng Trung ương (Hà Nội) cho biết, hiện nay, các bệnh giun lây truyền từ đất đã giảm nhưng bệnh do ký sinh trùng đang có xu hướng gia tăng như giun đũa chó mèo, sán lá gan lớn và nhỏ, sán dây lợn, dây bò.
Một quan chức y tế Campuchia hôm qua cho biết, số ca mắc bệnh sốt rét ở nước này đã giảm 74% vào năm 2024, đánh dấu tiến triển đáng kể trong cuộc chiến chống lại căn bệnh này.
Bệnh sán dây nhỏ (sán dây chuột) thường diễn tiến âm thầm. Tuy nhiên, có những trường hợp nhiễm số lượng sán nhiều, có thể bệnh nhân có các triệu chứng: mệt mỏi, chán ăn, sút cân, đau đầu, ngứa vùng thân dưới…
Ngày 11/4, theo báo cáo của Trung tâm kiểm soát bệnh tật tỉnh Thanh Hóa, các bệnh nhân ở xóm Chùa Vĩnh Nghiêm, xã Vĩnh Hòa, huyện Vĩnh Lộc mắc bệnh ghẻ do ký sinh trùng Sarcoptes scabiei var hominis gây ra.
Các ca bệnh nhiễm giun đũa chó mèo đang bùng nổ, đặc biệt là có nguyên nhân do nuôi thú cưng. Khi ôm, ngủ cùng thú cưng, người nuôi dễ nuốt phải trứng giun đũa chó mèo.
Khoảng một năm bị cơn ho hành hạ, cứ tưởng mình bị ung thư nhưng kết quả xét nghiệm cho thấy bệnh nhân dương tính với 3 loại ký sinh trùng là giun đũa chó mèo, sán lá gan lớn, giun đầu gai.
Sau thời gian dài điều trị ngứa theo đơn khám da liễu không khỏi, nam bệnh nhân bất ngờ được chẩn đoán mắc ấu trùng giun đũa chó, thể ấu trùng di chuyển nội tạng do tiếp xúc thường xuyên với vật nuôi trong nhà.
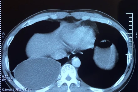
Sau thời gian dài ăn thực phẩm tái và sống, nam bệnh nhân bị nhiễm ấu trùng sán dây chó ký sinh tại phổi. Đây là một trường hợp rất hiếm gặp tại Việt Nam.
Các nước nêu rõ nếu không triển khai các biện pháp ứng phó chủ động thì việc một số bệnh truyền nhiễm phổ biến tại các khu vực khác và có thể phòng ngừa, sẽ sớm "phủ sóng" toàn châu Âu.
Thói quen ăn thịt bò tái thường xuyên sẽ khiến người dùng phải đối mặt với nhiễm sán. Trong số những người đến khám bệnh tại Bệnh viện Đặng Văn Ngữ gần đây, có khoảng 20%-30% bệnh nhân bị các bệnh giun sán như sán lá gan, sán dây lợn, sán dây bò.
Hơn 10 năm chịu cảnh trầy xước da, nhiễm trùng kèm nhiều vết ngoằn nghèo như giun bò trên da và tốn nhiều tiền đi chữa chuyên khoa da liễu, nam thanh niên tại Hà Nội bất ngờ khi được bác sĩ chẩn đoán mình dương tính với giun đũa chó mèo.
Ăn nhiều rau sống, nuôi chó mèo trong nhà nhưng lại bỏ qua thói quen uống thuốc tẩy giun định kỳ khiến nhiều người Việt mắc bệnh ký sinh trùng, gây ra những nguy hiểm cho sức khỏe.
Cơ quan chức năng Cà Mau xác định được nguyên nhân khiến cua chết bất thường là do ký sinh trùng giáp xác chân tơ trưởng thành và ấu trùng của ký sinh trùng ký sinh trong xoang thân cua, xâm nhập vào mô cơ, gan, tim của cua.
Đạo diễn “Ký sinh trùng” Bong Joon Ho sẽ chủ trì vai trò người đứng đầu Ban Giám khảo của Liên hoan phim Venice lần thứ 78 tổ chức vào tháng 9. Đây là lần đầu tiên một đạo diễn Hàn Quốc được chọn làm Trưởng Ban Giám khảo hạng mục phim quan trọng nhất của Venice.