Lần đầu ghép gân tứ đầu đùi, cứu đôi chân dập nát

NDĐT – Đứng trước chân trái dập nát, đã nhiễm khuẩn và rất khó có cơ hội để hồi phục, nhưng các bác sĩ Bệnh viện Hữu nghị Việt Đức đã quyết tâm đến cùng với hành trình dài năm năm, trải quay bảy lần mổ, trong đó có cuộc phẫu thuật lần đầu tiên thực hiện ghép gân tứ đầu đùi để cứu lấy cuộc đời một chàng trai trẻ.

Chân trái của bệnh nhân đã hồi phục hoàn toàn.
Chân trái của bệnh nhân đã hồi phục hoàn toàn.

Làm tâm lý với chính mình trước lựa chọn giữ chân hay không

Năm năm với bảy lần phẫu thuật để cứu lấy đôi chân cho một bệnh nhân nam trẻ tuổi, TS, BS Trần Hoàng Tùng, Phó trưởng Khoa Phẫu thuật chấn thương chi dưới, Bệnh viện Hữu nghị Việt Đức cũng không thể nghĩ, sự quyết tâm của gia đình và sự kiên trì phẫu thuật của bản thân và các bác sĩ đã mang lại phép màu cho bệnh nhân này.

Chia sẻ với phóng viên báo Nhân Dân điện tử, BS Tùng kể, năm năm trước, Đào Quang H (24 tuổi) đang là sinh viên năm thứ nhất vừa nhập học tại một trường Đại học trên địa bàn, được bệnh viện tuyến dưới và gia đình chuyển đến Bệnh viện Hữu nghị Việt Đức sau khi bị tai nạn xe máy với tổn thương gẫy hở chân trái phức tạp, mất xương trên lồi cầu, liên lồi cầu xương đùi và nhiễm trùng.

Khi đến bệnh viện, chân em đã bị nhiễm khuẩn đầy mủ, với một tiên lượng cắt cụt chân... “Tôi đã từng nói với bố em, một người đàn ông gầy gò và khắc khổ, giờ cắt bỏ cái chân thối thì nhanh và bệnh nhân cũng nhanh hồi phục để lắp chân giả. Nhưng tôi cũng nói với ông, tôi không muốn cắt cụt chân của ai”, BS Tùng cho hay.

Lúc đó, anh đã hỏi chàng trai mới 19 tuổi rằng “liệu em có đủ can đảm để chịu đựng đau đớn qua rất nhiều lần mổ để cứu chân, để giúp em thay vì là người cụt chân, có thể vẫn được đi trên đôi chân cha sinh mẹ đẻ của chính mình không?”. Chàng trai trẻ 19 tuổi lúc đó không chút lưỡng lự đã gật đầu đồng ý, miễn sao cứu được mình không trở thành người khuyết tật một chân.

Thế nhưng, điều mà BS Tùng cân nhắc hơn cả, đó là liệu bản thân có đủ kiên trì để mổ cho em, đủ can đảm để chịu điều tiếng khi bệnh nhân của mình phải mổ đi mổ lại không. “Nhỡ các ca mổ không thành công, gia đình bệnh nhân không hiểu, lại thắc mắc, lại kiện.... thì bản thân liệu có đủ sức chịu đựng và đương đầu không?”. Dù tự hỏi lòng như vậy, nhưng với quyết tâm giữ bằng được đôi chân cho chàng trai trẻ, các bác sĩ đã bắt tay vào công việc để dần mang lại hình hài nguyên vẹn cho đôi chân tưởng không còn cơ hội cứu vãn. Và có một động lực nữa để anh theo đến cùng ca bệnh này là gia đình bệnh nhân rất quyết tâm, không nản chí sau 1-2 lần mổ ban đầu.

Hành trình năm năm mang lại sự vận động cho bệnh nhân

Sau cuộc phẫu thuật lần thứ nhất để xử trí do tai nạn gẫy hở nặng chân bởi một bác sĩ khác, BS Tùng bắt đầu bước vào hành trình điều trị cho bệnh nhân H bằng ca phẫu thuật thứ hai với việc cắt lọc các tổ chức hoại tử, nạo viêm và lấy bỏ xương chết.

BS Tùng kể, nếu cắt bỏ hết những phần tổn thương thì bệnh nhân sẽ hết cơ hội hồi phục chân. Do đó, các bác sĩ phải cắt từ từ những phần chết hẳn và chờ những phần nửa sống nửa chết hồi phục được tí nào hay tí đó. "Chúng tôi cứ thế trải qua liên tiếp những lần mổ rồi cắt, rồi lại chờ và mổ… Thật may, đến lần mổ thứ tư, chân em đã hết nhiễm trùng, hết xương chết và cơ thối”, BS Tùng kể.

Tuy nhiên, lúc này, H phải đối mặt với một sự thật, những khuyết xương đùi và cứng khớp gối, mất gân cơ quanh đùi khiến em đi lại vẫn rất khó khăn. BS Tùng kể về hành trình hồi phục đầy phức tạp của bệnh nhân H: "Phẫu thuật gẫy xương vùng khớp gối có hai yêu cầu trái ngược nhau. Mổ xong gối, bệnh nhân phải bất động nằm im duỗi thẳng thì xương mới có cơ hội liền. Nhưng nếu bệnh nhân không tập gấp duỗi gối, khớp gối sẽ cứng. Bệnh nhân H vốn đã bị nhiễm trùng, đồng nghĩa là em sẽ bị dính và cứng khớp khiến cho chân cứng đơ, không co và duỗi được”. Những trường hợp bị chấn thương như H, gối sẽ cứng và phải chấp nhận tình trạng khó vận động cả đời.

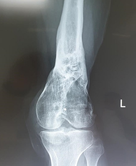
Ca ghép gân tứ đầu đùi đầu tiên thành công, mang lại vận động bình thường cho bệnh nhân.

Lúc này, một quyết định táo bạo đã được BS Tùng và các bác sĩ đưa ra hướng điều trị mới cho H. Đó là lần đầu tiên, các bác sĩ tiến hành ghép gân tứ đầu đùi cho bệnh nhân H với hy vọng cải thiện được tình trạng đi lại.

Lần phẫu thuật thứ năm đã diễn ra với việc ghép xương. Trong lần phẫu thuật thứ sáu, bệnh nhân đã được ghép gân cơ tứ đầu đùi bằng gân đồng loại từ người cho chết não và gỡ dính khớp gối (gân cơ tứ đầu đùi là một gân to của cơ thể, ngay trên xương bánh chè giúp khớp gối gấp duỗi). Lần đầu tiên triển khai một kỹ thuật mới, một loạt câu hỏi đặt ra thách thức cả ê kíp: Ghép thế nào trên nền một khớp gối vừa dính vừa cứng? Làm thế nào để ghép mà sau mổ khớp gối vừa gấp tốt mà không mất duỗi, vừa duỗi tốt lại không mất gấp? Ghép thế nào để đủ cho nhu cầu bệnh nhân sinh hoạt hàng ngày?

Thế nhưng, bằng tất cả những quyết tâm, bệnh nhân đã có được lại chân hoàn chỉnh với khả năng gối duỗi hết và gấp có ép 100 độ. Trải qua gần bốn năm, sau năm lần được BS Tùng mổ, H đã hồi phục, đi lại tốt trên đôi chân của mình, tốt nghiệp đại học, ra trường đi làm.

Sau mổ một thời gian, bệnh nhân lại không may mắn khi gặp phải tai nạn gẫy đúng chân mới được tạo hình lành lặn. Bệnh nhân thêm một lần thứ bảy trải qua phẫu thuật để đôi chân được khỏe mạnh, chuẩn bị lập gia đình.

Chia sẻ về ca bệnh đặc biệt trong cuộc đời cầm dao mổ của mình, BS Tùng kể đây là một gia đình đặc biệt vì hoàn toàn tin vào bác sĩ và không thấy nản bao giờ. “Mấy lần mổ sau, ông bố không có mặt vì đi làm ăn xa, nhưng đều điện thoại cho tôi với kiên quyết chữa cho con đến cùng. Gia đình cũng đã tin tưởng tôi tuyệt đối cho dù tôi vẫn là bác sĩ xếp vào hàng ngũ bác sĩ trẻ trong bệnh viện”, BS Tùng kể.

Một ca bệnh dù vô cùng khó, nhưng lại gặp rất nhiều may mắn trong quá trình hồi phục. Bệnh nhân cũng vô cùng kiên cường khi trải qua bảy lần mổ suốt năm năm qua và phải trải qua thời gian tập luyện vô cùng đau đớn, với quá trình hồi phục gân ghép suốt thời gian chín tháng.

“Trước kia, chúng tôi mới chỉ ghép dây chằng chéo, thì với những hướng xử trí mới như thế này, những bệnh nhân cứng khớp gối do tổn thương gân, có thể ghép gân tứ đầu đùi để mang lại sự vận động bình thường”, BS Tùng hào hứng nói.

Có thể bạn quan tâm