Một loại sóng não giúp làm sạch bộ não khi ngủ

NDĐT - Khi bạn ngủ, các sóng điện hoạt động chậm trong não dường như giúp tẩy sạch các chất thải có hại làm hỏng các tế bào não của bạn. Quá trình này có thể đóng một vai trò trong việc ngăn ngừa các tình trạng thoái hóa thần kinh như căn bệnh Alzheimer.

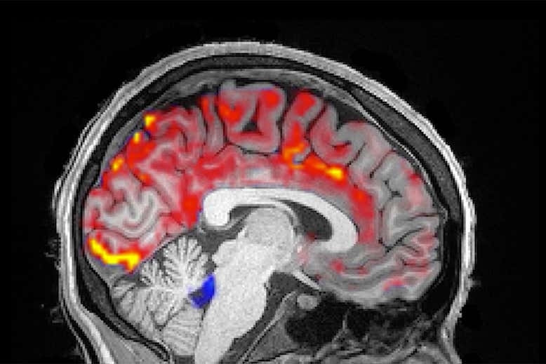
Oxy máu trong não (màu đỏ) khi ngủ.
Oxy máu trong não (màu đỏ) khi ngủ.

Tiến sĩ Laura Lewids từ Đại học Boston, Massachusetts nói: “Giấc ngủ rất quan trọng trong việc tẩy các chất thải độc hại của hoạt động chuyển hóa khỏi bộ não. Việc thiếu ngủ có liên quan đến việc tích lũy trong não những khối protein như beta-amuloid, được cho là có dính líu đến căn bệnh Alzhemer”.

Các sóng não được tạo ra bởi một mạng lưới lớn của các tế bào não phóng ra cùng nhau theo nhịp điệu. Phần lớn chức năng của nó là không rõ ràng, nhưng chúng ta biết chúng trở nên chậm hơn khi ngủ sâu và nhanh hơn khi chúng ta thức giấc. Để biết rõ vai trò của các sóng não trong vai trò làm sạch bộ não, Lewis và nhóm nghiên cứu của cô đã sử dụng điện não đồ để đo lường hoạt động điện não của 13 người trong khi họ chợp mắt bên trong máy quét MRI.

Cùng lúc, các nhà nghiên cứu cũng đo lường lượng oxy máu trong não bộ và dòng chảy của dịch não tủy, một chất nước lỏng xung quanh bộ não và tủy sống.

Họ phát hiện ra, trong quá trình ngủ, các sóng lớn của dòng chất dịch não tủy chảy vào và ra khỏi bộ não cứ sau 20 giây, một hoạt động để chuyển đi chất thải. Dòng chảy vào đã đi trước bởi các các hình dạng của sóng điện hoạt động chậm, được gọi là các sóng delta.

Các sóng não này được biết đóng vai trò trong việc củng cố trí nhớ trong khi chúng ta ngủ. Các nhà nghiên cứu cũng thấy rằng các sóng xảy ra cùng thời gian với dòng máu chảy ra khỏi bộ não, mà theo họ nói để giúp cân bằng tổng lượng dịch chung quanh bộ não.

Những người mắc chứng bệnh thoái hóa thần kinh như căn bệnh Alzheimer có sóng chậm ít hơn và yếu hơn, Tiến sĩ Lewis nói. “Như vậy chúng tôi có thể chắc chắn rằng họ cũng có những sóng của chất dịch não tủy ít hơn và nhỏ hơn trong những rối loạn đó, và có thể có ảnh hưởng đến cách làm sạch các chất thải”.

Tuy nhiên, điều này chưa rõ ràng liệu việc làm sạch não bộ bị suy giảm trong khi ngủ có phải là nguyên nhân hay một triệu trứng của căn bệnh như Alzheimer.

Trải qua một dêm mất ngủ có thể dẫn đến có thêm nhiều beta-amyloid tích tụ trong não. Nhưng cũng không cần phải lo lắng. “Thỉnh thoảng con người có thể thiếu ngủ, họ thực sự sẽ có nhiều sóng điện não chậm vào đêm hôm sau”, Tiến sĩ Lewis nói. “Đó là cách mà bộ não bù đắp cho việc thiếu ngủ”.

Có thể bạn quan tâm