Theo thông tin ban đầu, nam bệnh nhân V.Đ.Q (63 tuổi, trú xã Tam Hòa, huyện Núi Thành, tỉnh Quảng Nam) vào viện với tình trạng đau ngực sau chấn thương do tai nạn giao thông, bên ngoài hoàn toàn không có vết thương, chỉ có vết xây xước nhẹ ngoài da.
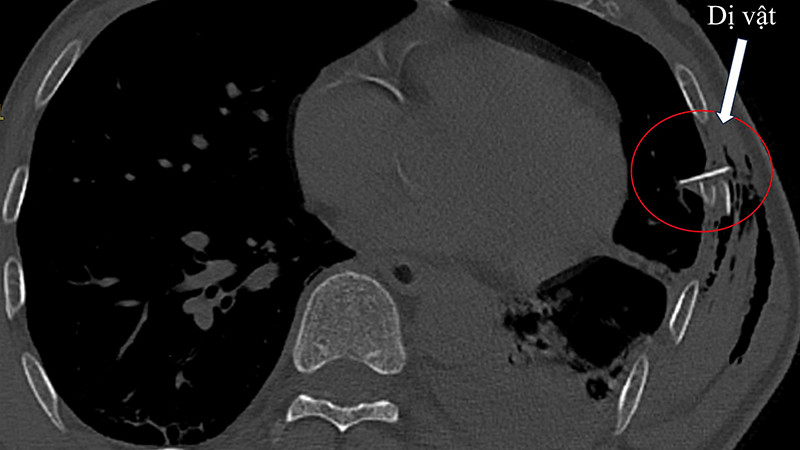
Sau đó, bệnh nhân có cơn đau ngực tăng dần, đau nhiều đến nỗi không dám thở, có tình trạng suy hô hấp, hình ảnh XQ phổi chưa ghi nhận bất thường khác ngoài gãy các xương sườn VI, VII, VII. Bệnh nhân được chụp cắt lớp ngực và ghi nhận tràn khí, tràn máu màng phổi với một hình ảnh mảnh xương sườn đâm vào nhu mô phổi. Bệnh nhân được hội chẩn để phẫu thuật cấp cứu.
![]() |
| Bệnh nhân được phẫu thuật nội soi khoang màng phổi hoàn toàn, mảnh xương sườn gãy vụn được lấy ra. |
Sau hơn một giờ phẫu thuật nội soi khoang màng phổi hoàn toàn, mảnh xương sườn gãy vụn đã được lấy ra, vết thủng ở nhu mô phổi đã được khâu kín, máu được cầm và khoang màng phổi được làm sạch.
Người bệnh ổn định và xuất viện sau 5 ngày điều trị.
