Cảnh giác mắc bệnh thận đa nang ngay khi còn trẻ

Dù khỏe mạnh và không có triệu chứng khi đi khám sức khỏe, nhưng bệnh nhân 15 tuổi bất ngờ phát hiện bệnh thận đa nang. Đáng chú ý, bệnh nhân là đời thứ 3 trong gia đình có bệnh thận di truyền. 

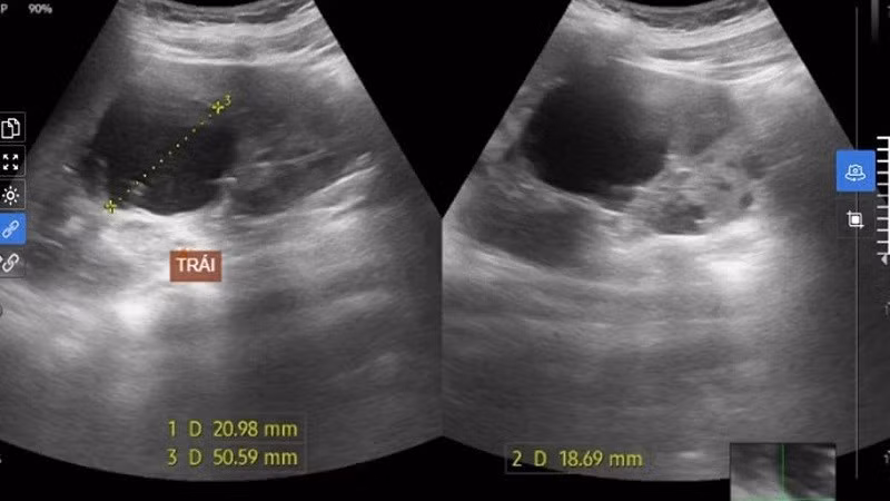
Hình ảnh siêu âm nang thận của bệnh nhân.
Hình ảnh siêu âm nang thận của bệnh nhân.

Cần tầm soát sớm bệnh thận đa nang nếu có yếu tố di truyền

Nam học sinh N.H.N.A (15 tuổi, trú tại Thành phố Hồ Chí Minh) đến Phòng khám đa khoa Medlatec Gò Vấp khám trong tình trạng khỏe mạnh và không có triệu chứng nào bất thường. Sau khi kiểm tra, phát hiện anh là đời thứ 3 trong gia đình có bệnh thận di truyền, cần có chương trình quản lý theo dõi để tránh diễn tiến đến bệnh thận mạn giai đoạn cuối.

Bệnh nhân cho biết tiền sử gia đình vô cùng đặc biệt: Bà ngoại được chẩn đoán thận đa nang năm 60 tuổi.

Mẹ A. phát hiện thận đa nang năm 35 tuổi, khi phát hiện chức năng thận còn tốt. Do chủ quan, cảm thấy khỏe, không có gì bất thường nên không theo dõi. Khi cảm thấy mệt, đi khám đã chuyển sang bệnh thận mạn giai đoạn cuối (chỉ trong vòng 5 năm), phải chạy thận nhân tạo và chờ ghép thận; dì ruột (em gái mẹ) được chẩn đoán thận đa nang năm 33 tuổi.

Dựa vào sơ đồ phả hệ bên ngoại của nhà bệnh nhân có 2 đời (bà ngoại-mẹ-dì) đều bị bệnh lý thận đa nang, bác sĩ chuyên khoa I Nguyễn Thị Mỹ Lệ đã chỉ định tầm soát bệnh thận đa nang di truyền cho em (đời thứ 3).

Những kết quả khám đáng lưu ý gồm hình ảnh siêu âm bụng phát hiện thận đa nang hai bên (thận trái hơn 7 nang, thận phải hơn 10 nang), kích thước thận to. Hiện, chưa có suy giảm chức năng thận.

Với bất thường hình ảnh thận đa nang trên siêu âm, bác sĩ Lệ tiếp tục tư vấn A. làm thêm các xét nghiệm tầm soát biểu hiện ngoài thận của bệnh thận đa nang như: Siêu âm bụng (nang gan, nang tụy...), điện tim, siêu âm tim (bệnh van tim, bệnh mạch vành...).

Dựa vào kết quả lâm sàng và cận lâm sàng, bác sĩ chẩn đoán A. mắc bệnh thận mạn giai đoạn 1 - giai đoạn sớm nhất, chưa suy giảm chức năng thận, chỉ có bất thường trên hình ảnh thận và thận đa nang chưa có biểu hiện tại thận cũng như ngoài thận.

Bệnh nhân A. đã được bác sĩ Lệ tư vấn rõ về căn bệnh thận đa nang, về khả năng di truyền cho thế hệ sau. Hiện, bệnh nhân A. chưa cần dùng thuốc điều trị, chỉ cần bảo vệ thận tối đa bằng cách phòng ngừa tổn thương thận cấp: tránh mất nước (uống đủ nước), tránh thuốc độc thận (sử dụng thuốc phải có chỉ định của bác sĩ), tránh tình trạng tắc nghẽn đường tiểu (sỏi thận...).

Bệnh nhân cần tiết chế muối; theo dõi tiến triển bệnh thận đa nang định kỳ thông qua các chỉ số thể tích thận (siêu âm, MRI...), eGFR, protein niệu, albumin niệu; theo dõi tăng huyết áp, các biểu hiện ngoài thận (nang gan, bệnh lý tim mạch, phình động mạch nội sọ).

Đồng thời, bệnh nhân cần tầm soát và điều trị các yếu tố ảnh hưởng đến tốc độ tiến triển suy thận nếu có (tăng huyết áp, tiểu đạm, tăng đường huyết, bệnh lý cầu thận...).

Bác sĩ Lệ tư vấn các thành viên trong gia đình bên ngoại của bệnh nhân A đều nên thực hiện siêu âm bụng tầm soát thận đa nang (nhất là 2 người con của dì). Chị gái bệnh nhân A. hiện tại chưa phát hiện thận đa nang trên siêu âm, nhưng vẫn chưa loại trừ hoàn toàn thận đa nang khởi phát muộn nên vẫn cần siêu âm bụng định kỳ.

Bệnh thận đa nang nguy hiểm thế nào?

Bác sĩ chuyên khoa I Nguyễn Thị Mỹ Lệ cho biết, thận đa nang là một rối loạn di truyền, đặc trưng bởi thận to và hình thành nhiều nang ở thận. Có khoảng 25% trường hợp chưa được chẩn đoán, vì không có biểu hiện lâm sàng. Số lượng nang sẽ tăng dần theo thời gian kèm chức năng thận dần suy giảm theo tuổi. Nếu không được phát hiện và theo dõi sớm, thận đa nang có thể tiến triển đến bệnh thận mạn giai đoạn cuối, buộc phải thay thế thận (chạy thận nhân tạo, lọc màng bụng, ghép thận).

Ngoài ra, bệnh còn gây tăng huyết áp, sỏi thận, nhiễm trùng tiểu, đau lưng, tiểu máu, hay các biến chứng ngoài thận như nang gan, phình động mạch não (nguy cơ xuất huyết não) và bệnh lý tim mạch. Vì vậy, sàng lọc sớm để mang lại cơ hội điều trị sớm, giúp làm chậm tiến triển bệnh và nâng cao chất lượng cuộc sống.

Theo bác sĩ Lệ, khi đã được chẩn đoán thận đa nang cần phải có chương trình quản lý, theo dõi định kỳ để kiểm soát huyết áp, bảo vệ thận một cách tối đa, chậm diễn tiến đến bệnh thận mạn giai đoạn cuối, đánh giá nguy cơ suy thận tiến triển nhanh, đánh giá điều trị các biến chứng tại thận (bệnh thận mạn, sỏi thận, tiểu máu, nhiễm trùng tiểu, nhiễm trùng nang, triệu chứng gây ra bởi nang thận lớn), đánh giá các biểu hiện ngoài thận (nang gan, phình động mạch nội sọ, bệnh lý tim mạch).

Với trường hợp này bị bệnh thận đa nang là bệnh di truyền, nên bác sĩ Lệ cho biết cần phải có chương trình quản lý theo dõi bệnh thận mạn cho bệnh nhân A, đồng thời cả gia đình bên ngoại của bệnh nhân cũng cần được tầm soát thận đa nang, tránh trường hợp đáng tiếc như mẹ của bệnh nhân A (40 tuổi đã phải chạy thận).

Thận đa nang nói riêng và các bệnh lý ở thận nói chung thường diễn biến thầm lặng, do đây là cơ quan có khả năng bù trừ rất lớn, nên khi cơ thể xuất hiện triệu chứng thường là thời điểm thận đã bị tổn thương nghiêm trọng.

Để chẩn đoán sớm có mắc thận đa nang hay không, khi đi thăm khám, người dân sẽ được chỉ định thực hiện các kỹ thuật xét nghiệm như siêu âm bụng đánh giá số lượng nang thận, kích thước thận to trên siêu âm.

Tiêu chuẩn chẩn đoán bệnh thận đa nang di truyền trên siêu âm cho người 15 tuổi trở lên của Hội Thận học quốc tế KDIGO: Người có tiền sử gia đình có người mắc bệnh thận đa nang: Độ tuổi từ 15-39 tuổi trên siêu âm ghi nhận ≥ 3 nang; độ tuổi từ 40-59 tuổi: trên siêu âm ghi nhận ≥ 2 nang/ mỗi thận cả 2 bên trái-phải.

Bên cạnh đó, cần làm xét nghiệm công thức máu, ion đồ, BUN, Creatinin, tổng phân tích nước tiểu, Microalbumin niệu/Creatinin niệu; tầm soát biểu hiện ngoài thận của bệnh lý thận đa nang: Điện tim, siêu âm tim (bệnh lý tim mạch), siêu âm bụng (nang gan, nang tụy).

Có thể bạn quan tâm