#Bạch Mai

9 kết quả

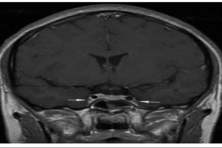
Vị trí mũi tên là viêm và co thắt động mạch cảnh trong 2 bên.
Y tế

Nguy kịch sau vài ngày bị viêm xoang cấp mủ

Chỉ với biểu hiện ngạt mũi, sổ mũi, đau đầu nhẹ, bệnh nhân nhanh chóng phải nhập viện với tình trạng co giật, rối loạn ý thức do viêm tắc tĩnh mạch xoang hang - một tình trạng huyết khối nhiễm trùng ở nền sọ. Hiện bệnh nhân vẫn đang trong tình trạng nguy kịch.

[Video] Vi phạm nghiêm trọng tại 2 dự án cơ sở 2 bệnh viện Bạch Mai và Việt Đức
Media Pháp luật

[Video] Vi phạm nghiêm trọng tại 2 dự án cơ sở 2 bệnh viện Bạch Mai và Việt Đức

Thanh tra Chính phủ vừa ban hành kết luận thanh tra dự án đầu tư xây dựng mới cơ sở 2 Bệnh viện Bạch Mai và dự án đầu tư xây dựng mới cơ sở 2 Bệnh viện Hữu nghị Việt Đức. Kết luận chỉ rõ bộ trưởng Bộ Y tế, thứ trưởng phụ trách đã có hành vi vi phạm trong nhiều khâu, từ phê duyệt chủ trương tuyển tư vấn nước ngoài đến buông lỏng để xảy ra nhiều sai phạm liên quan cơ sở 2 Bệnh viện Bạch Mai và Việt Đức.
[Video] Cảnh báo đột quỵ ở người trẻ tuổi
Video

[Video] Cảnh báo đột quỵ ở người trẻ tuổi

Mặc dù được tích cực điều trị và theo đánh giá của bác sĩ là hồi phục tốt, tuy nhiên bệnh nhân nam 46 tuổi, trú tại quận Cầu Giấy, Hà Nội vẫn không thể nhấc tay, chân và phản hồi nửa thân bên trái sau khi bị đột quỵ.
Ảnh minh họa.
Y tế

Quản lý bệnh viện tuyến cuối

Những ngày gần đây có nhiều ý kiến băn khoăn về những hệ lụy, phát sinh nếu "chuyển giao các bệnh viện thuộc bộ, cơ quan nhà nước ở trung ương đóng trên địa bàn Thủ đô về thành phố Hà Nội quản lý, trừ các bệnh viện thuộc Bộ Quốc phòng, Bộ Công an, bệnh viện các trường đại học". Ðây là một nội dung của Dự án Luật Thủ đô (sửa đổi) đang trong quá trình soạn thảo, lấy ý kiến các chuyên gia, nhà khoa học và cá nhân.