Tổn thương gan nghiêm trọng do thói quen ăn đồ sống

Nam bệnh nhân, 41 tuổi, tại Hà Nội mới đây được phát hiện tổn thương gan nghiêm trọng do nhiễm sán lá gan lớn, bắt nguồn từ thói quen ăn đồ sống thường xuyên.

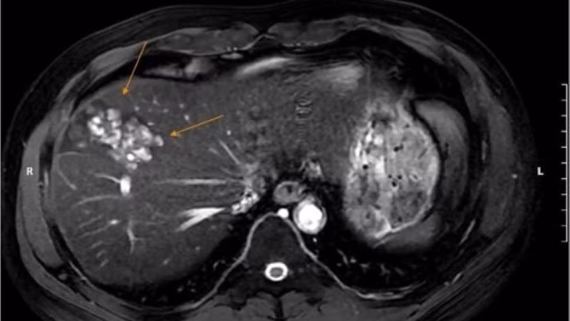
Hình ảnh tổn thương do sán lá gan.
Hình ảnh tổn thương do sán lá gan.

Phát hiện sán gây tổn thương gan nặng nhờ khám sức khỏe định kỳ

Vừa qua, Phòng khám đa khoa Medlatec Tây Hồ tiếp nhận anh L.T.N (41 tuổi, ở Hà Nội) tới kiểm tra sức khỏe định kỳ. Trong quá trình thăm khám, bác sĩ phát hiện bệnh nhân có tổn thương gan nghiêm trọng do sán lá gan lớn.

Nguyên nhân ban đầu được xác định liên quan đến thói quen ăn uống. Được biết, gia đình anh N. kinh doanh quán nhậu, thường xuyên sử dụng thực phẩm sống như rau sống, gỏi cá... và không có thói quen tẩy giun định kỳ.

Kết quả xét nghiệm của bệnh nhân phát hiện chỉ số bạch cầu ái toan tăng cao, cùng nhiều bất thường như rối loạn chuyển hóa lipid máu, đồng thời men gan, đường máu, mỡ máu đều vượt ngưỡng. Hình ảnh siêu âm ghi nhận gan phải có cấu trúc bất thường, nốt vôi hóa và thoái hóa mỡ độ I.

Để làm rõ chẩn đoán, bác sĩ chỉ định anh N. chụp cộng hưởng từ (MRI) ổ bụng, kết quả phát hiện nhiều ổ tổn thương khu trú gan phải, dạng hoại tử dịch hóa nhiều ổ, nghi ngờ do ký sinh trùng. Đồng thời, xét nghiệm chuyên sâu xác nhận dương tính với sán lá gan lớn và giun lươn.

Bệnh nhân được chẩn đoán tổn thương gan do sán lá gan lớn kèm rối loạn lipid máu, được bác sĩ kê phác đồ điều trị và hẹn tái khám sau 1 tháng điều trị.

Cảnh báo sán lá gan rình rập từ thói quen ăn uống của người Việt

Theo Thạc sĩ, bác sĩ nội trú Trần Văn Chiều-Trưởng Phòng Hóa sinh, Trung tâm Xét nghiệm Medlatec, sán lá gan là bệnh ký sinh trùng nguy hiểm, lây truyền qua đường tiêu hóa khi con người ăn phải thức ăn hoặc nước uống có chứa trứng hay ấu trùng sán.

Tác nhân thường gặp đến từ các loại rau thủy sinh (rau nhút, rau cần, xà lách son…), hoặc các món ăn chưa được nấu chín kỹ (tiết canh, gỏi cá, ốc sống, hàu sống...). Thói quen ăn uống truyền thống và xu hướng ẩm thực hiện đại (salad, sashimi, hải sản sống) nếu không đảm bảo vệ sinh, đều tạo điều kiện để ký sinh trùng xâm nhập cơ thể.

Điều đáng nói là bệnh thường không gây triệu chứng rõ rệt ở giai đoạn đầu. Người bệnh có thể chỉ thấy đau bụng âm ỉ, mệt mỏi, sốt nhẹ, tiêu chảy, buồn nôn - những biểu hiện dễ nhầm với rối loạn tiêu hóa thông thường. Chính vì thế, nhiều trường hợp phát hiện muộn khi sán đã trưởng thành, gây tắc nghẽn đường mật hoặc hình thành ổ mủ trong gan, lúc này việc điều trị trở nên phức tạp hơn.

Bác sĩ đưa ra cảnh báo về mức độ nguy hiểm của sán lá gan, sán lớn có thể gây áp xe gan, hoại tử nhu mô gan; sán nhỏ thường gây viêm, tắc mật, sỏi mật, ung thư đường mật... Bởi vậy, việc phát hiện sớm và xử trí kịp thời đóng vai trò quan trọng quyết định mức độ điều trị bệnh thành công và dứt điểm.

Bác sĩ cho biết, bệnh có thể điều trị khỏi nếu phát hiện sớm. Tùy loại sán và mức độ tổn thương, bệnh nhân được chỉ định dùng praziquantel hoặc triclobendazole trong vài ngày. Các trường hợp nặng như tắc mật, áp xe gan có thể phải can thiệp nội soi, hoặc phẫu thuật dẫn lưu và loại bỏ ký sinh trùng.

Sán lá gan là bệnh ký sinh trùng khá phổ biến tại Việt Nam và nhiều nước Đông Nam Á, song điều đáng lưu ý là bệnh hoàn toàn có thể phòng ngừa được nếu chủ động thay đổi thói quen ăn uống và sinh hoạt theo khuyến cáo của bác sĩ.

Theo đó, mọi người cần chú ý rửa rau sạch, ngâm bằng nước muối hoặc dung dịch khử khuẩn, tránh ăn sống rau thủy sinh; hải sản, thịt cần được nấu chín kỹ; rửa tay với xà phòng trước khi chế biến và ăn uống; khám sức khỏe định kỳ, đặc biệt với người thường xuyên ăn đồ sống, để sàng lọc và phát hiện sớm bất thường ở gan, đường mật.

Có thể bạn quan tâm