Thoát chết "ngoạn mục" sau 12 ngày hôn mê vì nhồi máu cơ tim

Một người đàn ông 56 tuổi ở Thành phố Hồ Chí Minh vừa được cứu sống ngoạn mục sau 12 ngày chìm trong hôn mê sâu vì nhồi máu cơ tim.

Bác sĩ thăm khám cho bệnh nhân 56 tuổi bị nhồi máu cơ tim.
Bác sĩ thăm khám cho bệnh nhân 56 tuổi bị nhồi máu cơ tim.

Bệnh nhân T. nhập viện trong tình trạng đau dữ dội vùng ngực và vùng thượng vị, sau đó ngưng tim đột ngột. Các bác sĩ Bệnh viện đa khoa Củ Chi lập tức hồi sức tích cực và kích hoạt quy trình báo động đỏ liên viện, chuyển bệnh nhân đến Bệnh viện đa khoa Xuyên Á để can thiệp chuyên sâu.

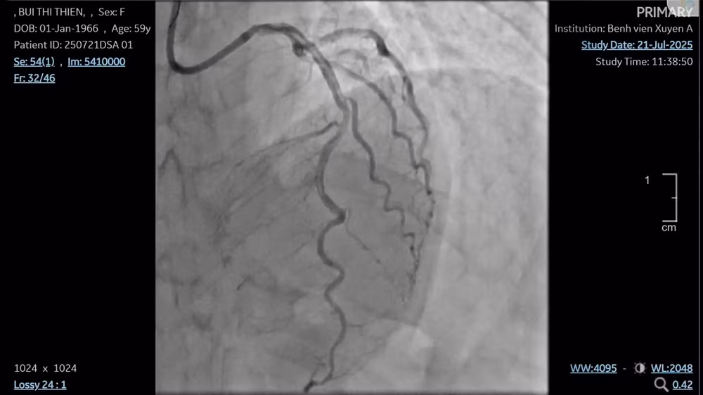
Kết quả kiểm tra cho thấy, nhánh động mạch vành trái hẹp nặng, động mạch vành phải tắc gần như hoàn toàn, chứa nhiều huyết khối. Đây chính là nguyên nhân khiến dòng máu nuôi tim bị cắt đứt đột ngột.

ekip-can-thiep.jpg
Ê-kíp bác sĩ can thiệp ca nhồi máu cơ tim.

Bệnh nhân được chỉ định đặt stent động mạch vành khẩn cấp. Trong quá trình can thiệp, ông T. liên tục rơi vào cơn rung thất, buộc các bác sĩ vừa sốc điện vừa hồi sức, can thiệp nong mạch để giành giật sự sống.

img-2309.jpg
Mạch máu sau khi đặt stent.

Sau phẫu thuật, bệnh nhân rơi vào hôn mê sâu, tim yếu. Các bác sĩ triển khai điều trị toàn diện: Đặt máy tạo nhịp tạm thời, lọc máu liên tục, hạ thân nhiệt và dùng thuốc vận mạch.

Nhờ nỗ lực bền bỉ suốt 12 ngày, điều kỳ diệu đã xảy ra, bệnh nhân T. dần tỉnh, tim hồi phục, trí nhớ nguyên vẹn và xuất viện trong niềm vui khôn tả của gia đình và y bác sĩ.

e-kip-bac-si-khoa-can-thiep-tim-mach-cung-gia-dinh-benh-nhan-ngay-xuat-vien.jpg
Bệnh nhân T. xuất viện trong niềm vui của gia đình và y bác sĩ điều trị.

Theo bác sĩ Trần Tấn Việt, Trưởng khoa Can thiệp Tim mạch, Bệnh viện đa khoa Xuyên Á, bệnh nhân có tiền sử tiểu đường và hút thuốc lá nhiều năm, yếu tố nguy cơ hàng đầu gây nhồi máu cơ tim.

“Trong cấp cứu nhồi máu cơ tim, thời gian chính là sự sống. Mỗi phút chậm trễ đều làm gia tăng tổn thương cơ tim, thậm chí tước đi cơ hội sống của người bệnh”, bác sĩ Việt cho hay.

Từ trường hợp này, các chuyên gia y tế cảnh báo, những người có bệnh nền như tăng huyết áp, đái tháo đường, hút thuốc lá, rối loạn mỡ máu hoặc có tiền sử gia đình mắc bệnh tim mạch, cần khám sức khỏe tim mạch định kỳ, duy trì lối sống lành mạnh để phòng ngừa biến chứng nguy hiểm.

Có thể bạn quan tâm