Các bác sĩ Bệnh viện Hữu nghị Việt Đức vừa tiếp nhận nam thiếu niên 14 tuổi, trú tại Bắc Giang vào viện trong tình trạng bị thương nặng do pháo tự chế phát nổ.
Nam thiếu niên G.T.B tự mua thuốc pháo trên mạng về chế tạo pháo ở nhà thì bất ngờ pháo tự chế phát nổ, trong quá trình pháo chế tạo phát nổ khiến máy xay sinh tố văng vào ngực trái bệnh nhân.
Sau khi được sơ cứu tại bệnh viện tỉnh, bệnh nhân được chuyển đến Bệnh viện Hữu nghị Việt Đức.
PGS, TS Phùng Duy Hồng Sơn - Phó Giám đốc Trung tâm Tim mạch và lồng ngực, Bệnh viện Hữu nghị Việt Đức cho biết, bệnh nhân vào viện trong tình trạng mặt bỏng, 2 chân và tay đều bị bỏng.
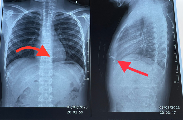
Kết quả chụp phim X-quang ngực thấy có 2 dị vật kim loại trong lồng ngực nằm sau xương ức bên trái, nghi ngờ tổn thương tim. Các bác sĩ đã nhanh chóng mổ cấp cứu kịp thời lấy dị vật, khâu vết thương thành thất phải cho bệnh nhân.
Hiện tại bệnh nhân ổn định, tiếp tục được theo dõi và điều trị tại Trung tâm Tim mạch và lồng ngực, Bệnh viện Hữu nghị Việt Đức.
![]() |
| Hình ảnh 2 dị vật kim loại trong lồng ngực nằm sau xương ức bên trái của bệnh nhân. |
Theo PGS, TS Phùng Duy Hồng Sơn, vào thời điểm gần Tết, các vụ tai nạn liên quan pháo tự chế lại gia tăng, để lại hậu quả đáng tiếc. Có những trường hợp phải chịu thương tổn suốt đời như cụt tay, bỏng nặng ở vùng mặt, mất thị lực…, thậm chí ảnh hưởng đến tính mạng.
Vì vậy, các bác sĩ khuyến cáo, người dân cần chấp hành các quy định của pháp luật về quản lý và sử dụng pháo nổ; không tự ý chế tạo thuốc nổ, pháo nổ, gây nguy hại cho bản thân và xã hội.
Đồng thời, các lực lượng chức năng, nhà trường cần đẩy mạnh công tác tuyên truyền, giáo dục pháp luật nhằm nâng cao nhận thức, hiểu biết về những nguy hại của pháo nổ, thuốc nổ cho người dân, đặc biệt là đối với học sinh.
