Phẫu thuật cắt bỏ khối sarcoma mỡ nặng gần 4kg cho bệnh nhân 76 tuổi

Các bác sĩ Khoa Ngoại tổng hợp (Bệnh viện Ung bướu Hà Nội) vừa thực hiện thành công ca phẫu thuật cắt bỏ khối sarcoma mỡ sau phúc mạc kích thước 28×15cm, nặng gần 4kg, giúp người bệnh thoát khỏi nguy cơ biến chứng đe dọa tính mạng.

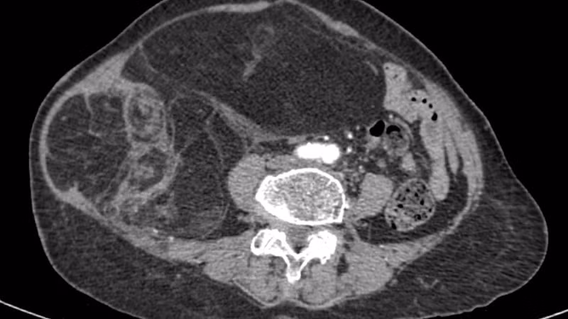
Hình ảnh phim chụp CT ổ bụng của người bệnh.
Hình ảnh phim chụp CT ổ bụng của người bệnh.

Trước đó, người bệnh (76 tuổi) nhập viện do bụng to nhanh, căng tức, biến dạng vùng hạ sườn-mạn sườn phải trong khoảng 3 tháng gần đây. Kết quả khám lâm sàng và chẩn đoán hình ảnh cho thấy có khối choán chỗ sau phúc mạc, kích thước 28x15cm, cấu trúc hỗn hợp tổ chức mỡ-đặc, đè đẩy tạng trong ổ bụng nhưng không có dấu hiệu xâm lấn các tạng lân cận. Kết hợp lâm sàng và hình ảnh học, bệnh nhân được chẩn đoán sarcoma mỡ sau phúc mạc.

Ca bệnh được đánh giá nguy cơ cao do tuổi bệnh nhân lớn, bệnh lý hô hấp nền và khối u kích thước lớn thâm nhiễm cơ thành bụng. Nguy cơ mất máu nhiều và rối loạn huyết động trong mổ được tiên lượng.

Sau hội chẩn đa chuyên khoa, bệnh nhân được chỉ định phẫu thuật cắt bỏ triệt để khối u. Phẫu thuật viên tiến hành bóc tách cẩn trọng theo mặt phẳng giải phẫu, kiểm soát các nhánh mạch nhỏ, tránh tổn thương tạng lân cận. Toàn bộ khối u được lấy ra nguyên vẹn, nặng gần 4kg, kích thước 28x15cm.

Sau mổ, bệnh nhân được hồi sức tích cực, huyết động ổn định, không ghi nhận chảy máu hay nhiễm trùng vết mổ. Kết quả mô bệnh học xác định: sarcoma mỡ mất biệt hoá, diện cắt âm tính tế bào u. Bệnh nhân hồi phục tốt, được xuất viện sau 7 ngày.

Sarcoma mỡ sau phúc mạc là u ác tính mô mềm hiếm gặp, chiếm khoảng 15–20% các sarcoma vùng sau phúc mạc. Bệnh tiến triển âm thầm, thường chỉ phát hiện khi khối u đạt kích thước lớn, gây chèn ép tạng lân cận. Phẫu thuật triệt để với diện cắt âm tính là phương pháp điều trị chuẩn, quyết định tiên lượng bệnh. Tuy nhiên, tỷ lệ tái phát tại chỗ cao (30–50%), đặc biệt trong hai đến ba năm đầu sau mổ. Do đó, theo dõi định kỳ bằng siêu âm hoặc CT scan mỗi 6–12 tháng là cần thiết.

Bác sĩ chuyên khoa II Lê Văn Thành, Phó Giám đốc Bệnh viện Ung bướu Hà Nội, Trưởng Khoa Ngoại tổng hợp khuyến cáo người dân, nhất là người cao tuổi, nên khám sức khỏe định kỳ để phát hiện sớm các bất thường trong ổ bụng. Khi thấy các dấu hiệu như bụng to bất thường, đau âm ỉ vùng thắt lưng, cảm giác có khối cứng di động trong bụng, cần đến ngay cơ sở y tế chuyên khoa để được kiểm tra, chẩn đoán và điều trị kịp thời.

Có thể bạn quan tâm