Vi khuẩn gây bệnh whitmore xâm nhập vào tận xương
Trung tâm Bệnh Nhiệt đới, Bệnh viện Bạch Mai gần đây liên tục tiếp nhận các ca bệnh với triệu chứng sốt, kém ăn, sụt cân, sưng và áp-xe một số vị trí trên cơ thể. Các dấu hiệu, triệu chứng của bệnh nhân rất giống và thường nhầm lẫn với bệnh lao, nhiễm khuẩn tụ cầu.
Các trường hợp này khi nhập viện được các bác sĩ nhanh chóng tiến hành cấy máu, mủ từ các vị trí áp-xe. Sau khi có kết quả xét nghiệm phát hiện vi khuẩn Burkholderia pseudomallei, vi khuẩn gây bệnh whitmore (Melioidosis), bệnh nhân được giải thích và tư vấn về phác đồ điều trị kéo dài để tránh tái phát.
Bệnh nhân T.V.L, 58 tuổi (Sóc Sơn, Hà Nội) vào viện trong tình trạng viêm phổi, áp-xe tiền liệt tuyến, trực tràng, kém ăn, sụt cân. Áp-xe chính là các ổ nhiễm trùng do vi khuẩn tạo ra. Theo bệnh nhân chia sẻ, chung quanh khu vực sinh sống cũng từng có trường hợp nhiễm bệnh whitmore tử vong.
Bệnh nhân P.C.G, 48 tuổi (Can Lộc, Hà Tĩnh) nghề nghiệp làm ruộng, thợ xây, hay tiếp xúc với bùn đất. Bệnh nhân vào viện trong tình trạng sốt, sưng đau, áp-xe tay trái, đau nhức trong xương. Trước đó, bệnh nhân đã từng nhiều lần bị áp-xe ở các vị trí khác nhau trên cơ thể, tái đi tái lại, điều trị ở tuyến trước không tìm ra nguyên nhân.
Bệnh nhân V.Đ.L, 45 tuổi, (Trực Ninh, Nam Định), tiền sử khỏe mạnh bình thường. Bệnh nhân bị sốt cao nhiều ngày, sưng đau mông phải, ho đờm, khó thở, vào viện trong tình trạng sốc nhiễm khuẩn nặng.
![]() |
| Bệnh nhân whitmore bị sưng đau, áp-xe tay trái, ổ vi khuẩn vào tận xương. |
Cả ba bệnh nhân trên đều có bệnh nền đái tháo đường. Trong đó, có người đã và đang điều trị đái tháo đường, duy trì tiêm insulin; có người sau khi vào viện điều trị sốt, viêm phổi, sưng áp-xe phát hiện nền bệnh đái tháo đường. Có bệnh nhân whitmore đã xâm nhập vào tận xương, gây viêm.
Sau khi xác định rõ nguyên nhân, các ca bệnh whitmore được sử dụng phác đồ kháng sinh mà Bộ Y tế khuyến cáo. Các bác sĩ tại trung tâm phối hợp cùng nhiều chuyên khoa để xử trí các ổ áp-xe, kiểm soát đường máu, dinh dưỡng và nâng cao thể trạng. Hiện các bệnh nhân đã cắt sốt, ổ áp-xe được xử lý, sức khỏe được cải thiện, ăn uống và đi lại được.
Mới đây, Trung tâm cũng tiếp nhận một ca đặc biệt. Nam bệnh nhân L.D.D, 45 tuổi (Thái Bình), tiền sử đái tháo đường và làm nghề lái tàu trên biển, bệnh nhân được phát hiện có ổ áp-xe trong não; vào viện Trung tâm Thần kinh cấy máu, mủ phát hiện vi khuẩn whitmore, được chuyển sang điều trị tại Trung tâm Bệnh Nhiệt đới.
Sau hơn 20 ngày điều trị kháng sinh và hồi sức tích cực, bệnh nhân đã đỡ sốt, đỡ đau đầu, xét nghiệm ổn định. Tuy nhiên, bệnh nhân cần được điều trị kháng sinh và theo dõi kéo dài ít nhất trong 6 tháng tiếp theo.
Bệnh whitmore có diễn biến và triệu chứng lâm sàng đa dạng, cần chẩn đoán phân biệt với nhiều bệnh. Khi được chẩn đoán và điều trị không đúng, bệnh có tỷ lệ tử vong cao, có thể lên tới 40%.
Bệnh whitmore thường diễn biến cấp tính với tỷ lệ tử vong cao
Phó Giáo sư, Tiến sĩ Đỗ Duy Cường - Giám đốc Trung tâm Bệnh nhiệt đới, Bệnh viện Bạch Mai cho biết, whimore là bệnh do vi khuẩn có tên Burkholderia pseudomallei gây ra. Bệnh có diễn biến đa dạng, phức tạp và dễ bỏ sót, chính vì vậy bệnh nhân có thể tử vong do viêm phổi, nhiễm trùng máu và sốc nhiễm khuẩn.
Bệnh whitmore thường diễn biến cấp tính với các biểu hiện: Viêm phổi, nhiễm trùng xương khớp, hệ thần kinh, gan, lách, tuyến tiền liệt, nhiễm trùng huyết, hoặc sốc nhiễm khuẩn. Bệnh có thể diễn biến mạn tính với biểu hiện viêm phổi như bệnh lao hoặc áp-xe nhiều cơ quan như nhiễm khuẩn tụ cầu.
Bệnh lây nhiễm qua đường hô hấp hoặc tiếp xúc với môi trường có chứa vi khuẩn. Đặc biệt là khi có vết trầy xước trên da, nguy cơ lây nhiễm càng cao và bệnh nhanh tiến triển hơn.
Những người có một hoặc nhiều bệnh nền như đái tháo đường, nghiện rượu, bệnh phổi, thận, gan mạn tính, trong đó đặc biệt là bệnh đái tháo đường nguy cơ nhiễm bệnh cao, dễ gây ra các biến chứng nguy hiểm, khó lường và có thể dẫn đến tử vong. Ngoài giai đoạn điều trị tấn công, bệnh nhân cần được điều trị phác đồ duy trì để tránh tái phát. Nếu được điều trị đúng và đủ phác đồ, bệnh nhân có thể được chữa khỏi, tuy nhiên tỷ lệ tử vong cao, có thể lên đến 40%.
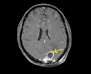
![]() |
| Bệnh nhân whitmore bị ép xe não thuỳ chẩm đỉnh trái. |
Để giảm thiểu nguy cơ mắc whitmore, bác sĩ Đỗ Duy Cường khuyến cáo, người dân không nên tiếp xúc trực tiếp với đất nước bẩn, ứ đọng lâu ngày, đặc biệt là khi có vết thương ngoài da, vết trầy xước, chảy máu; hoặc người có nhiều bệnh lý nền. Nên mang dụng cụ bảo hộ lao động khi làm nông nghiệp để ngăn ngừa nhiễm trùng qua chân tay. Các nhân viên y tế, bác sĩ cần bảo đảm bảo hộ khi tiếp xúc với người bệnh, để ngăn chặn tối đa sự nhiễm trùng.
Bác sĩ Cường nhấn mạnh, Việt Nam là vùng dịch tễ lưu hành whitmore. Đặc biệt, sau thời gian bão lũ, người dân phải sống chung với bùn, đất, nước dài ngày sẽ có nhiều nguy cơ nhiễm bệnh. Do đó, khi người bệnh bị sốt, có các ổ viêm, áp-xe nhiều nơi cần nghĩ ngay đến nguy cơ mắc whitmore, đặc biệt người có bệnh nền đái tháo đường. Việc cấy phát hiện whitmore sớm rất quan trọng trong lộ trình, phác đồ điều trị, giảm thiểu nguy cơ tử vong.

