Gắp mảnh bom nằm trong lồng ngực 50 năm

Ngày 25-3, Bệnh viện Xuyên Á Tây Ninh thông tin, vừa gắp ra từ lồng ngực một cựu chiến binh một… mảnh bom. Người bệnh là ông P.V.N. (71 tuổi, huyện Bến Cầu, Tây Ninh) từng bị mảnh bom găm vào thành ngực bên phải từ năm 1972. Tuy may mắn thoát chết nhưng người thương binh này phải sống chung với vật thể lạ trong 50 năm qua. 

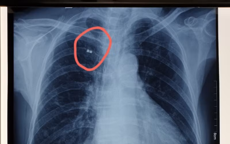
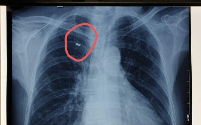
Vị trí mảnh bom trước khi gắp ra. (Ảnh: BVCC)
Vị trí mảnh bom trước khi gắp ra. (Ảnh: BVCC)

Khi ông N. đến khám bệnh tại Bệnh viện Xuyên Á Tây Ninh vì có một khối u sưng nề, gây đau ở vai phải; các bác sĩ đã chẩn đoán áp-xe vai phải và được tư vấn hướng điều trị là rạch tháo mủ ổ áp-xe. Bên cạnh đó, bác sĩ phát hiện có dị vật ở vùng ngực của ông qua phim chụp X-quang ngực thẳng nên đề nghị sẽ thực hiện đồng thời phẫu thuật lấy mảnh bom cho ông.

Dưới sự hỗ trợ của hệ thống C-Arm hiện đại (là hệ thống máy soi chụp X-quang và chiếu trực tiếp lên màn hình tăng sáng ngay tại phòng mổ), các bác sĩ Khoa Phẫu thuật Tim mạch - Lồng ngực xác định được chính xác vị trí mảnh bom. Ê-kíp phẫu thuật tiến hành gây tê tại vị trí mảnh bom, rạch da khoảng 2cm ở vị trí tê, bóc tách qua các lớp cơ thành ngực để tiếp cận mảnh bom nằm ở bờ dưới xương sườn số 2 trên đường trung đòn. Mảnh bom có kích thước khoảng 0,5cm đã được lấy ra dễ dàng.

Ông N. đã hồi phục nhanh chóng và xuất viện.

Có thể bạn quan tâm