#vaccine Imvanex

3 kết quả

Tiêm vắc-xin ngừa bệnh đậu mùa ở một trung tâm tiêm chủng tại Paris ngày 11/7. Ảnh: Le Parisien.
Châu Âu

Pháp ứng phó nguy cơ lây lan bệnh đậu mùa khỉ

Ngày 25/7, Bộ trưởng Y tế Pháp François Braun cho biết một số biện pháp cấp bách sẽ được triển khai trong những ngày tới để ứng phó bệnh đậu mùa khỉ, trong đó có việc khai trương một trung tâm tiêm chủng quy mô lớn ở vùng thủ đô Ile-de-France.
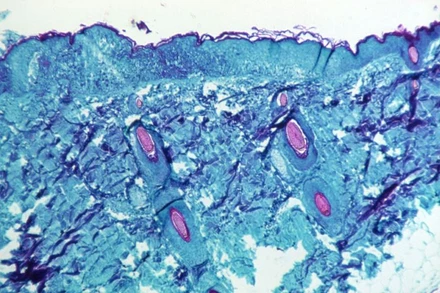
Hình ảnh một phần mô, được lấy từ vết thương trên da của 1 con khỉ nhiễm virus đậu mùa khỉ, được phóng đại 50X vào năm 1968. (Ảnh: REUTERS)
Thế giới

Pháp theo dõi sát sao bệnh đậu mùa khỉ

Tổng cục Y tế Pháp vừa thông báo, quốc gia này đã phát hiện trường hợp đầu tiên mắc bệnh đậu mùa khỉ, là 1 bệnh nhân nam sống tại vùng thủ đô Ile-de-France, chưa từng đi du lịch tới những quốc gia đã ghi nhận ca bệnh này. Cơ quan y tế cộng đồng Pháp đang tiến tiến hành điều tra dịch tễ học chuyên sâu truy vết những người đã từng tiếp xúc với bệnh nhân 29 tuổi trên.