Bệnh nhân nam 71 tuổi, quê Nam Định đến khám tại Bệnh viện đa khoa Tâm Anh Hà Nội trong tình trạng sốt cao, đau bụng hạ sườn phải. Thạc sĩ, bác sĩ Phạm Khắc Khiêm, khoa Tiêu hóa cho biết, kết khám lâm sàng kết hợp cận lâm sàng như siêu âm, chụp cắt lớp vi tính phát hiện bệnh nhân có ổ áp xe ở gan phải, kích thước lớn khoảng 7*8cm. Quá trình hỏi bệnh được biết người bệnh có thói quen ăn gỏi cá nhiều năm nay. Xét nghiệm có kháng thể sán lá gan nhỏ, cấy mủ áp xe phát hiện vi khuẩn E.coli.
Theo bác sĩ Khiêm, bệnh viện tiếp nhận và điều trị cải thiện cho nhiều trường hợp mắc sán lá gan, nhất là sán lá gan nhỏ. Trường hợp bị áp xe gan do mắc đồng thời sán lá gan nhỏ có bội nhiễm vi khuẩn E.coli khá hiếm gặp, gây ra bệnh cảnh nhiễm trùng nặng nề cho bệnh nhân.
Theo chuyên gia này, thông thường vi khuẩn E.coli (Escherichia coli) sống trong đường ruột của người và động vật, có thể gây bệnh đường ruột như tiêu chảy, đau bụng, sốt hoặc ngộ độc thức ăn. Khi đường mật bị viêm, sán lá gan nhỏ tạo ổ áp xe ở gan, tạo điều kiện cho vi khuẩn E.coli di chuyển từ đường tiêu hóa lên gan, phá hủy nhanh hơn các tế bào gan, làm tăng nặng tình trạng nhiễm trùng và biến chứng tại gan, suy giảm chức năng gan, tăng nguy cơ nhiễm trùng huyết.
Với tình trạng của người bệnh, bác sĩ dẫn lưu áp xe gan bằng sonde chuyên dụng, kháng sinh phổ rộng đường tĩnh mạch, phối hợp can thiệp dinh dưỡng để tránh suy kiệt do nhiễm trùng, tăng hiệu quả điều trị.
Quá trình điều trị cho người bệnh phức tạp và khó khăn do nhiều yếu tố. Ổ áp xe ở vị trí sát vòm hoành tăng nguy cơ vỡ lên khoang màng phổi, kích thích đau làm bệnh nhân hạn chế về hô hấp; ổ áp xe có nhiều vách, mủ đặc nên khi dẫn lưu, dịch khó ra hết ngay trong thời gian ngắn.
Bên cạnh đó, người bệnh tuổi cao, có nhiều bệnh nền phối hợp làm chậm quá trình hồi phục như: bệnh phổi tắc nghẽn mạn tính, xơ phổi, viêm phổi, trước đó người bệnh đã trải qua phẫu thuật và hóa trị ung thư đại tràng…
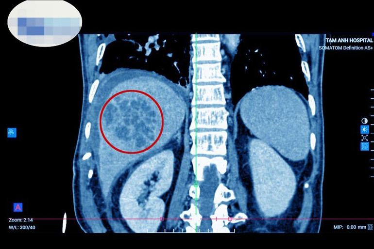
![]() |
| Hình ảnh ổ áp xe lớn (vùng khoanh đỏ), chiếm gần hết lá gan. |
Bác sĩ kết hợp nhiều biện pháp bao gồm điều trị tích cực ổ áp xe, phục hồi chức năng hô hấp, kết hợp can thiệp dinh dưỡng và theo dõi đánh giá điều chỉnh theo diễn biến của bệnh và đáp ứng của bệnh nhân, phòng ngừa bệnh tiến triển theo chiều hướng bất lợi.
Sau 1 tuần điều trị, bệnh nhân tỉnh táo, da niêm mạc hồng, nhịp tim ổn định, phổi thông khí đều 2 bên, huyết động ổn định. Người bệnh tái khám sau 1 tháng, ổ áp xe đang nhu mô hóa (lành lại), kích thước tổn thương giảm rất nhiều so với trước điều trị, chỉ còn vài cm.
Bệnh nhân được tư vấn tiếp tục theo dõi và tái khám sau 6-12 tháng để xác định tình trạng bệnh, từ đó đưa ra hướng điều trị phù hợp nếu có.
Sán lá gan có thể tồn tại trong gan nhiều năm
Trên thế giới có 10 loại sán lá gan nhỏ, trong đó có chủ yếu 3 loài gây bệnh là Clonorchis sinensis, Opisthorchis viverrini và Opisthorchis felineus. Ở Việt Nam gặp 2 loài sán lá gan nhỏ là C. sinensis và O.viverrini, trong đó C.sinensis lưu hành ở các tỉnh phía bắc, O. viverrini lưu hành ở khu vực các tỉnh miền trung và miền nam.
Theo ước tính, trên thế giới có khoảng 35 triệu người nhiễm và khoảng 2 triệu người có triệu chứng nhiễm C. sinensis gây ra khoảng 5.500 ca tử vong mỗi năm.
Ước tính ở Việt Nam có khoảng 1 triệu người nhiễm sán lá gan nhỏ. Các yếu tố nguy cơ nhiễm C. sinensis bao gồm ăn cá nước ngọt chưa nấu chín, gỏi cá, cá muối, sống trong vùng có thói quen ăn gỏi cá, toilet không bảo đảm vệ sinh.
Người nhiễm sán lá gan nhỏ khi ăn phải cá có ấu trùng sán chưa được nấu chín, ấu trùng vào dạ dày, xuống tá tràng, ngược theo đường mật lên gan, phát triển thành sán lá gan trưởng thành ký sinh và gây bệnh ở đường mật như tắc mật, viêm đường mật, áp xe gan do sán. Thời gian từ khi ăn phải ấu trùng nang đến khi sán trưởng thành từ 26-30 ngày.
Theo bác sĩ Khiêm, một số trường hợp sán lá gan nhỏ khi đi vào cơ thể không có biểu hiện triệu chứng. Sán có thể tồn tại trong gan nhiều năm. Trường hợp của ông Thanh, ổ áp xe đã hình thành trong một thời gian dài, dù điều trị nhưng vẫn tái phát do chưa tìm đúng nguyên nhân gây bệnh.
Khi nhiễm sán lá gan nhỏ gây áp xe gan, đặc biệt là các trường hợp áp xe gan có bội nhiễm vi khuẩn, nếu không xác định chính xác nguyên nhân và điều trị triệt để có thể gặp biến chứng như sốc nhiễm khuẩn, vỡ ổ áp xe, tổn thương gan dẫn tới ung thư gan, ung thư đường mật, nhiễm trùng tái phát.
Bệnh sán lá gan ở người rất phổ biến ở Việt Nam, phân bố ở khoảng 32 tỉnh, thành phố, trong đó một số địa phương có tỷ lệ nhiễm cao từ như Ninh Bình, Nam Định, Hòa Bình, Hà Nội, Thanh Hóa, Bình Định, Phú Yên… Người dân địa phương thường có thói quen ăn gỏi cá, các món ăn chế biến từ cá sống hoặc chưa nấu chín hoàn toàn…
Để giảm nguy cơ mắc sán lá gan nhỏ, người dân không nên ăn gỏi cá, các thực phẩm chế biến từ cá chưa nấu chín; không dùng phân người nuôi cá; không phóng uế xuống các nguồn nước; định kỳ tẩy sán cho vật nuôi…
Khi có dấu hiệu bất thường như đau bụng, sốt kéo dài, vàng da…, người dân nên đi khám để phát hiện sớm, điều trị kịp thời. Những trường hợp nhiễm nặng thường có triệu chứng mệt từng cơn, đau bụng, đầy hơi, ăn không ngon, sụt cân, tiêu chảy… Các trường hợp nhiễm trong thời gian dài có thể gặp biến chứng viêm đường mật, viêm tụy, ung thư đường mật.
