Hai chất cấm trong sản phẩm giảm cân của Ngân 98 nguy hại thế nào?
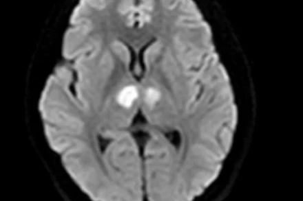
Theo các bác sĩ, thuốc giảm cân của Ngân 98 chứa các chất cấm nguy hiểm như sibutramine, phenolphthalein gây nguy hiểm cho sức khỏe.
Chúng tôi xin thông báo để các cơ quan, đoàn thể, đơn vị, trường học và bạn đọc đặt mua các ấn phẩm Báo Nhân Dân theo thông tin sau:
Đường dây nóng: (84) 24 393 82413
Xin trân trọng cảm ơn!
#thuốc giảm cân
Có 6 kết quả
Theo các bác sĩ, thuốc giảm cân của Ngân 98 chứa các chất cấm nguy hiểm như sibutramine, phenolphthalein gây nguy hiểm cho sức khỏe.
Để sớm giảm cân, đạt thân hình như ý muốn, nhiều người, đặc biệt là chị em phụ nữ thay vì lựa chọn luyện tập thể dục, thể thao, điều chỉnh chế độ ăn uống, sinh hoạt, lại tìm mua các sản phẩm quảng cáo giảm cân cấp tốc. Và đã có không ít người phải nhập viện vì các loại sản phẩm đó.
Vì tin vào thuốc giảm cân, một nữ bệnh nhân đã bị teo hẹp toàn bộ dạ dày và thực quản do hóa chất, phải cắt toàn bộ dạ dày và thực quản ngực.