Chủ quan không đi khám, người bệnh nhập viện vì bướu giáp thòng lớn chèn ép khí quản
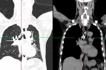
Bệnh nhân có u tuyến giáp nhiều năm nhưng do chủ quan và chưa thấy ảnh hưởng lớn nên chưa đi khám, chỉ đến khi cổ phình lớn, khó thở mới đến bệnh viện.
Chúng tôi xin thông báo để các cơ quan, đoàn thể, đơn vị, trường học và bạn đọc đặt mua các ấn phẩm Báo Nhân Dân theo thông tin sau:
Đường dây nóng: (84) 24 393 82413
Xin trân trọng cảm ơn!
#khí quản
Có 6 kết quả
Bệnh nhân có u tuyến giáp nhiều năm nhưng do chủ quan và chưa thấy ảnh hưởng lớn nên chưa đi khám, chỉ đến khi cổ phình lớn, khó thở mới đến bệnh viện.
Ngày 15/11, Bệnh viện Đa khoa tỉnh Quảng Trị cho biết vừa cấp cứu thành công một cháu bé 3 tuổi bị kim chọc tủy dài 22mm rơi vào đường thở.