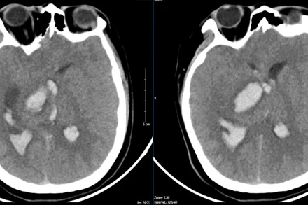
Người trẻ không chủ quan với những dấu hiệu của bệnh dị dạng mạch máu não
Bác sĩ cảnh báo tình trạng dị dạng mạch máu não từ những triệu chứng thường xuyên bị đau đầu, đột ngột nói khó, giảm thị lực, tê hoặc yếu tay chân,…
Chúng tôi xin thông báo để các cơ quan, đoàn thể, đơn vị, trường học và bạn đọc đặt mua các ấn phẩm Báo Nhân Dân theo thông tin sau:
Đường dây nóng: (84) 24 393 82413
Xin trân trọng cảm ơn!
#bệnh nhân trẻ
Có 3 kết quả
Trong đợt dịch thứ tư, nhiều người trẻ tuổi, không có bệnh lý nền khi nhiễm Covid-19 gặp phải tình trạng nặng tăng nhanh và nguy cơ tử vong rất cao. Phần lớn những trường hợp này đều gặp cơn bão cytokine.