Thích ăn đồ vật, người đàn ông bị thủng đại tràng
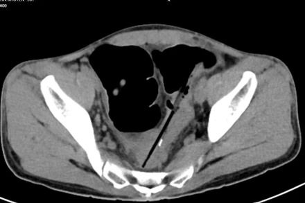
Trung tâm Phẫu thuật tiêu hóa, Bệnh viện Bạch Mai vừa phẫu thuật một trường hợp người bệnh nuốt nhiều dị vật gây biến chứng thủng đại tràng.
Chúng tôi xin thông báo để các cơ quan, đoàn thể, đơn vị, trường học và bạn đọc đặt mua các ấn phẩm Báo Nhân Dân theo thông tin sau:
Đường dây nóng: (84) 24 393 82413
Xin trân trọng cảm ơn!
#hội chứng Pica
Có 2 kết quả
Sáng 17-1, Đại tá Nguyễn Quốc Dũng, Phó Chủ nhiệm khoa Ngoại bụng, Bệnh viện Quân y 175 (Bộ Quốc phòng) cho biết, bệnh viện vừa phẫu thuật cấp cứu một trường hợp nuốt dị vật trong bụng.