Dấu hiệu bất thường ở vùng cổ có thể báo hiệu bạn mắc ung thư

U lympho Hodgkin có biểu hiện lâm sàng rất đa dạng và dễ gây nhầm lẫn với các tình trạng nhiễm trùng thông thường. Nếu bạn thấy hạch to bất thường ở cổ, cần đi khám sớm để chữa trị trong giai đoạn đầu, khả năng kéo dài sự sống cho người bệnh thêm ít nhất 5 năm là khá cao.

Kết quả siêu âm tuyến giáp ghi nhận hạch vùng cổ và hố thượng đòn hai bên.
Kết quả siêu âm tuyến giáp ghi nhận hạch vùng cổ và hố thượng đòn hai bên.

Bệnh nhân N.A.N (25 tuổi) đến Phòng khám đa khoa Medlatec Tây Hồ khám do sờ thấy khối vùng thượng đòn trái, đau thượng vị, được phát hiện mắc U lympho Hodgkin - một loại ung thư ác tính của hệ bạch huyết.

Dấu hiệu bất thường ở cổ

Khai thác bệnh sử được biết, khoảng 1 tháng gần đây chị N. xuất hiện đau bụng thượng vị, ợ hơi, tự sờ thấy khối vùng thượng đòn trái, không đau, người mệt mỏi, đôi khi hụt hơi khi lên xuống cầu thang.

Tại Medlatec, qua khám lâm sàng bác sĩ ghi nhận tại vùng hố thượng đòn trái có khối kích thước khoảng 3x2cm, bề mặt nhẵn, mật độ chắc, ranh giới tương đối rõ, di động kém, ấn hơi tức, da trên bề mặt khối không loét.

Siêu âm vú cho thấy hình ảnh nhân tuyến vú trái (BIRADS 3), nang tuyến vú trái (BIRADS 2). Hạch hố nách hai bên (theo dõi hạch phản ứng).

Siêu âm tuyến giáp ghi nhận hố thượng phải có vài hạch giảm âm, bờ và ranh giới rõ, còn cấu trúc rốn hạch, hạch lớn kích thước 24x13mm. Hố thượng đòn trái có vài hạch giảm âm, bờ và ranh giới rõ, không rõ cấu trúc rốn hạch, hạch lớn kích thước 35x15mm.

663184951-3405098489640481-6785082670658053454-n.jpg
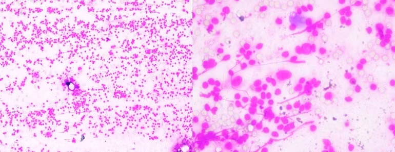
Trên phiến đồ thấy tăng sinh mạnh các tế bào lympho kích thước trung bình đến lớn, các tế bào có nhân kiềm tính, chất nhiễm sắc thô, màng nhân méo mó không đều.

Chụp CT lồng ngực có tiêm cản quang phát hiện tổn thương trung thất trên, lan vào rốn phổi trái, ôm quanh và làm hẹp lòng các nhánh động mạch - tĩnh mạch phổi, phế quản thùy trên. Nhiều hạch vùng nền cổ, hố thượng đòn hai bên. Nhiều hạch và khối hạch bất thường trong trung thất.

Để đánh giá bản chất tổn thương, bệnh nhân đã được chỉ định chọc tế bào kim nhỏ và sinh thiết hạch thượng đòn trái.

Kết quả chọc tế bào hạch thượng đòn trái hướng tới u lympho ác tính. Mô bệnh học sinh thiết hạch thượng đòn trái có tế bào không điển hình chưa loại trừ U lympho Hodgkin. Nhuộm hóa mô miễn dịch 5 dấu ấn cho kết quả dương tính với CD 15, CD 30, PAX 5.

Dựa vào kết quả trên, chị N. được chẩn đoán mắc u lympho Hodgkin, viêm dạ dày. Bệnh nhân đã được tư vấn và hướng dẫn chuyển đến bệnh viện chuyên khoa phù hợp để điều trị.

Theo bác sĩ chuyên khoa I Đoàn Như Hoa, Chuyên khoa Nội cho biết, bệnh Hodgkin là một trong 2 nhóm bệnh ác tính của tế bào lympho. Trong đó, u lympho Hodgkin hay còn gọi là ung thư hạch Hodgkin (chiếm khoảng 20-30%) và u lympho không Hodgkin (chiếm khoảng 70-80%). Tại Việt Nam, bệnh này xếp thứ 14 trong các loại ung thư hay gặp.

Báo cáo từ Tổ chức Y tế thế giới (WHO) cho thấy, tổng số ca mắc Lympho Hodgkin trong năm 2022 ước đạt 82.469 ca, con số tử vong tương ứng 22.733 ca (chiếm 27.5%). Bệnh gặp ở nam nhiều hơn nữ và phân bố chủ yếu ở hai nhóm tuổi: thanh thiếu niên, người trẻ (khoảng 20 tuổi) và người cao tuổi (khoảng 60 tuổi).

Cho đến nay, nguyên nhân dẫn đến ung thư hạch Hodgkin vẫn chưa được xác định chính xác. Mặc dù vậy, nhiều yếu tố nguy cơ được cho là có khả năng tạo điều kiện cho căn bệnh này khởi phát. Đơn cử như: nhiễm virus Epstein-Barr virus (EBV), Cytomegalovirus (CMV); suy giảm miễn dịch (sau ghép tạng, nhiễm HIV/AIDS...); các bệnh lý tự miễn và tiền sử gia đình có người mắc ung thư hạch bạch huyết.

Dễ nhầm lẫn trong phát hiện u lympho Hodgkin

Theo các chuyên gia ung bướu, u lympho Hodgkin có biểu hiện lâm sàng rất đa dạng và dễ gây nhầm lẫn với các tình trạng nhiễm trùng thông thường.

Người bệnh sẽ thấy hạch to bất thường (chiếm 70% trường hợp), thường xuất hiện ở cổ, nách, bẹn. Hạch có mật độ chắc, số lượng nhiều nhưng đặc biệt không đau.

Khối u trung thất (vị trí tổn thương phổ biến thứ hai) thường diễn tiến âm thầm hoặc gây ra các triệu chứng hô hấp không đặc hiệu như: đau tức sau xương ức, ho kéo dài, khó thở (thở nông) hoặc tràn dịch màng phổi.

Triệu chứng toàn thân gồm ngứa, mệt mỏi, tam chứng B (sốt, ra mồ hôi đêm, sút cân trên 10% trọng lượng cơ thể trong 6 tháng không giải thích được nguyên nhân);

Một vài hội chứng cận u hiếm như đau do rượu (đau xương hoặc ở vị trí hạch xảy ra sau vài phút sử dụng rượu dù với lượng nhỏ), tổn thương da (mày đay, hồng ban..), hội chứng thận hư.

Bệnh thường tiến triển theo hướng lan tràn có trật tự, ban đầu từ một nhóm hạch khu trú sang các hạch lân cận, sau đó có thể xâm lấn tới các cơ quan ngoài hạch như lách và tủy xương.

Khi khối u phát triển kích thước lớn và không được kiểm soát, bệnh sẽ gây ra các biến chứng do thâm nhiễm và chèn ép như: Hội chứng chèn ép tĩnh mạch chủ trên gây phù áo khoác (phù mặt, cổ, tay), tĩnh mạch cổ nổi to do máu không lưu thông được về tim.

Biến chứng hô hấp có thể gặp phải như tràn dịch màng phổi diện rộng, chèn ép khí quản gây suy hô hấp cấp; suy kiệt hệ thống như thiếu máu nặng, xuất huyết do giảm tiểu cầu và nhiễm trùng cơ.

Để chẩn đoán u lympho Hodgkin và xây dựng phác đồ điều trị hiệu quả các cần có sự phối hợp của đa chuyên khoa (Lâm sàng, Chẩn đoán hình ảnh, Xét nghiệm, Giải phẫu bệnh).

Bác sĩ Hoa cho hay, ung thư hạch Hodgkin có điều trị thành công được hay không còn phụ thuộc vào một số yếu tố như: giai đoạn tiến triển, tình trạng sức khỏe người bệnh, khả năng đáp ứng điều trị...

Nếu được chữa trị trong giai đoạn đầu, khả năng kéo dài sự sống cho người bệnh thêm ít nhất 5 năm là khá cao. Tuy nhiên, nếu bệnh đã tiến triển sang giai đoạn muộn, khả năng điều trị thành công thường giảm sút đáng kể.

Do đó, bác sĩ Hoa khuyến cáo người dân khi xuất hiện các dấu hiệu nghi ngờ bệnh cần chủ động đến cơ sở y tế uy tín, có đầy đủ năng lực chuyên môn để được thăm khám và điều trị kịp thời.

Có thể bạn quan tâm

Hướng dẫn cách đăng ký trực tuyến tuyển sinh vào lớp 10 của Hà Nội

Hướng dẫn cách đăng ký trực tuyến tuyển sinh vào lớp 10 của Hà Nội

Sở Giáo dục và Đào tạo Hà Nội hướng dẫn cách thức đăng ký trực tuyến dự thi và tuyển sinh vào lớp 10 trung học phổ thông công lập năm học 2026-2027 nhằm hỗ trợ học sinh, cha mẹ học sinh thực hiện thuận lợi, chính xác. Hệ thống đăng ký trực tuyến sẽ mở thử nghiệm đến ngày 6/4. 

Chánh án Tòa án nhân dân tối cao Nguyễn Văn Quảng thăm và làm việc tại Tòa án khu vực IV, Thành phố Hà Nội.

Người truyền lửa về chuyển đổi số phục vụ công tác xét xử

Là một nữ Chánh án tại tòa án trọng điểm của thành phố Hà Nội, Chánh án Đỗ Thị Thúy Hạnh, Tòa khu vực 4, thành phố Hà Nội là người dẫn dắt đơn vị vừa hoàn thành việc sáp nhập, tinh gọn sắp xếp vừa là một trong những đơn vị dẫn đầu về ứng dụng chuyển đổi số trong công tác ngành tòa án. 

Các đại biểu thực hiện nghi thức chuyển giao công nghệ.

Bắc Ninh: Tiếp nhận chuyển giao công nghệ mới trong điều trị tật khúc xạ

Tối 3/4, tại Bắc Ninh, Bệnh viện Mắt Sông Cầu phối hợp Công ty trách nhiệm hữu hạn Carl Zeiss Việt Nam tổ chức lễ chuyển giao và chuẩn hóa hệ sinh thái nhãn khoa toàn diện, ra mắt công nghệ SMILE PRO PREMIUM trong điều trị tật khúc xạ bằng máy Visumax 800 và đưa vào sử dụng kính hiển vi phẫu thuật nội nhãn Artevo 750.

Một góc thành phố Hải Phòng hôm nay. (Ảnh minh họa: ĐỨC NGHĨA)

Hải Phòng phê chuẩn kết quả bầu, bổ nhiệm Chủ tịch, Phó Chủ tịch Ủy ban nhân dân cấp xã

Theo đề nghị của Thường trực Hội đồng nhân dân các xã, phường, đặc khu và đề xuất của Sở Nội vụ Hải Phòng, Chủ tịch Ủy ban nhân dân thành phố Hải Phòng đã ký ban hành các quyết định phê chuẩn kết quả bầu, bổ nhiệm 114 Chủ tịch và 226 Phó Chủ tịch Ủy ban nhân dân các xã, phường, đặc khu thuộc thành phố nhiệm kỳ 2026-2031.

Các hạng mục phục vụ hội nghị APEC năm 2027 tại Cảng hàng không quốc tế Gia Bình đang được tích cực triển khai.

Bắc Ninh: Nhiều hộ dân bàn giao mặt bằng sớm phục vụ xây dựng hạng mục phục vụ hội nghị APEC năm 2027

Ủy ban nhân dân xã Gia Bình, tỉnh Bắc Ninh thông tin, tính đến ngày 3/4, toàn xã có 77 hộ đăng ký tự nguyện bàn giao mặt bằng sớm để xây dựng Cảng hàng không quốc tế Gia Bình. Xã đã thành lập các đoàn công tác tuyên truyền đến bà con các thôn, đặc biệt là các chính sách hỗ trợ người dân khi thực hiện bàn giao sớm.

Thành phố Hải Phòng hướng tới mục tiêu trở thành trung tâm giáo dục, đào tạo hàng đầu cả nước. Trong ảnh là ngày hội tư vấn tuyển sinh tại Trường đại học Hàng hải Việt Nam.

Hải Phòng phấn đấu gia nhập Mạng lưới thành phố học tập toàn cầu của UNESCO vào năm 2027

Thành phố Hải Phòng hướng tới mục tiêu xây dựng thành phố Hải Phòng trở thành trung tâm giáo dục, đào tạo hàng đầu cả nước; trước mắt năm 2026 đủ điều kiện để được công nhận “Cộng đồng học tập” cấp tỉnh và tham gia Mạng lưới Thành phố học tập toàn cầu của UNESCO vào năm 2027.

Quang cảnh hội nghị chiều 2/4.

Quý I/2026, Hà Nội tăng trưởng hơn 8%

Chiều 2/4, đồng chí Nguyễn Duy Ngọc, Ủy viên Bộ Chính trị, Bí thư Thành ủy Hà Nội đã chủ trì hội nghị của Thành ủy, Hội đồng nhân dân, Ủy ban nhân dân và Ủy ban Mặt trận Tổ quốc thành phố Hà Nội để đánh giá kết quả quý I và triển khai các nhiệm vụ trọng tâm quý II/2026.