Nhiễm khuẩn huyết, viêm màng não từ món ăn tiết canh ngày Tết

Với thói quen hay ăn tiết canh, nam bệnh nhân 60 tuổi tại Hà Nội được phát hiện mắc nhiễm khuẩn huyết kèm viêm não-màng não do vi khuẩn liên cầu lợn. 

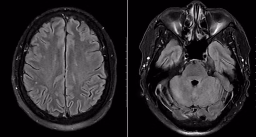
Hình ảnh chụp tổn thương não của bệnh nhân.
Hình ảnh chụp tổn thương não của bệnh nhân.

Vi khuẩn liên cầu lợn là tác nhân nguy hiểm thường liên quan đến thói quen ăn tiết canh. Nhờ chẩn đoán sớm bằng các phương tiện hiện đại và điều trị kịp thời, bệnh nhân đã hồi phục hoàn toàn, tránh được những biến chứng nặng nề có thể đe dọa tính mạng.

Bệnh nhân N.V.B (60 tuổi, Hà Nội) nhập viện tại Bệnh viện đa khoa Medlatec trong tình trạng sốt cao, mệt mỏi kéo dài. Trước đó khoảng 4 ngày, người bệnh xuất hiện đau đầu, chóng mặt, cảm giác mệt lả toàn thân và ho khan. Dù có biểu hiện sốt nhưng bệnh nhân không đo nhiệt độ, các triệu chứng không thuyên giảm nên được gia đình đưa đi khám.

Khai thác bệnh sử cho thấy, bệnh nhân có tiền sử tăng huyết áp đang điều trị ổn định. Đặc biệt, khi hỏi kỹ về yếu tố dịch tễ, các bác sĩ ghi nhận người bệnh có thói quen ăn tiết canh, một chi tiết quan trọng giúp định hướng nguyên nhân gây bệnh.

Trước nghi ngờ nhiễm khuẩn huyết, bệnh nhân được chỉ định thực hiện hàng loạt xét nghiệm chuyên sâu. Kết quả cấy máu dương tính với vi khuẩn Streptococcus suis - tác nhân gây bệnh liên cầu lợn nguy hiểm ở người.

Mặc dù chưa có biểu hiện thần kinh rõ ràng, bệnh nhân vẫn được chọc dò dịch não tủy để loại trừ biến chứng. Kết quả cho thấy dịch não tủy có tăng tế bào và protein, phản ứng Pandy dương tính, xác định viêm não-màng não. Bên cạnh đó, hình ảnh MRI sọ não phát hiện ổ tổn thương nhỏ tại thùy chẩm trái.

Từ các dữ liệu lâm sàng và cận lâm sàng, bệnh nhân được chẩn đoán mắc nhiễm khuẩn huyết-viêm não màng não do Streptococcus suis.

Ngay khi nhập viện, bệnh nhân được điều trị kháng sinh đường tĩnh mạch và hiệu chỉnh khi có kết quả kháng sinh đồ, kết hợp theo dõi sát tình trạng toàn thân và thần kinh. Sau 24 giờ, bệnh nhân cắt sốt, thể trạng cải thiện rõ rệt.

Sau 15 ngày điều trị tích cực, các xét nghiệm và hình ảnh học cho thấy tổn thương đã hồi phục hoàn toàn, bệnh nhân xuất viện trong tình trạng ổn định, không để lại di chứng thần kinh.

Tiết canh là món ăn quen thuộc trong nhiều gia đình Việt, đặc biệt trong các dịp lễ, Tết, cưới hỏi. Tuy nhiên, đây lại là nguồn lây nhiễm nguy hiểm của nhiều vi khuẩn và ký sinh trùng, trong đó đáng lo ngại nhất là vi khuẩn liên cầu lợn.

Bác sĩ chuyên khoa I Hồ Mạnh Linh - Trưởng Khoa Nội cho biết, vi khuẩn này tồn tại trong máu, đường hô hấp và đường tiêu hóa của lợn, kể cả những con lợn trông khỏe mạnh. Khi con người ăn tiết canh, thịt lợn chưa được nấu chín kỹ, vi khuẩn có thể xâm nhập trực tiếp vào cơ thể qua đường tiêu hóa hoặc qua các vết trầy xước ở niêm mạc.

Nhiễm liên cầu lợn ở người có thể gây ra hàng loạt biến chứng nguy hiểm như: Nhiễm khuẩn huyết, gây sốc nhiễm trùng, suy đa cơ quan; viêm não-màng não, để lại di chứng thần kinh trung ương; tổn thương nhu mô não, rối loạn ý thức, hôn mê; trường hợp nặng có thể tử vong nhanh chóng nếu điều trị muộn.

Điều đáng lo ngại là bệnh thường khởi phát âm thầm, với các triệu chứng không đặc hiệu như sốt, mệt mỏi, đau đầu, buồn nôn. Chính sự chủ quan và chậm trễ trong thăm khám khiến nhiều trường hợp nhập viện khi bệnh đã tiến triển nặng, gây khó khăn cho điều trị.

Mỗi dịp đầu năm mới hay đầu tháng, nhiều người có thói quen, đặc biệt là cánh mày râu thường xuyên truyền tai nhau câu nói "làm tí cho đỏ" - tức ăn tiết canh lấy may, xua đi cái đen đủi, thiếu may mắn của năm cũ, tháng cũ...

Từ ca bệnh trên, bác sĩ Hồ Linh cảnh báo, ăn tiết canh tuyệt đối không an toàn, kể cả khi lợn được cho là khỏe mạnh hoặc có nguồn gốc rõ ràng. Ngoài nguy cơ nhiễm vi khuẩn liên cầu lợn gây nhiễm khuẩn huyết, viêm não-màng não, tiết canh còn có thể là nguồn lây nhiều loại giun sán và ký sinh trùng nguy hiểm như sán dây, giun xoắn, sán lá…

Các tác nhân này có thể gây tổn thương gan, não, cơ tim, để lại hậu quả lâu dài, thậm chí đe dọa tính mạng. Đáng lưu ý, việc dùng rượu, chanh hay gia vị cay không có tác dụng tiêu diệt vi khuẩn hay ký sinh trùng trong tiết canh.

Đặc biệt trong dịp Tết - thời điểm các bữa ăn sum họp, liên hoan diễn ra thường xuyên - nguy cơ nhiễm bệnh từ thực phẩm sống, tái càng gia tăng. Để bảo vệ sức khỏe cho bản thân và gia đình, người dân cần:

Tuyệt đối không ăn tiết canh, không sử dụng thịt lợn sống hoặc tái; thực hiện nguyên tắc ăn chín, uống sôi, lựa chọn thực phẩm có nguồn gốc rõ ràng; sử dụng găng tay, đồ bảo hộ khi giết mổ, chế biến thịt lợn; đi khám ngay khi xuất hiện các triệu chứng như sốt cao, đau đầu, mệt mỏi kéo dài, đặc biệt nếu có tiền sử ăn tiết canh hoặc tiếp xúc với lợn.

Bác sĩ Linh cho biết thêm, phát hiện sớm và điều trị kịp thời là yếu tố then chốt giúp cứu sống người bệnh và hạn chế tối đa các biến chứng nguy hiểm.

Có thể bạn quan tâm

Từng bước mở rộng phạm vi chi trả của Quỹ Bảo hiểm y tế đối với một số dịch vụ phòng bệnh, dinh dưỡng, quản lý bệnh mãn tính, khám sức khỏe định kỳ. (Ảnh: ĐỖ THOA)

Mở rộng phạm vi chi trả của Quỹ Bảo hiểm y tế đối với một số dịch vụ y tế, khám sức khỏe

Từ năm 2026, từng bước tăng tỷ lệ, mức thanh toán cho phòng bệnh, chẩn đoán, điều trị sớm một số bệnh và đối tượng ưu tiên phù hợp lộ trình tăng mức đóng, khả năng cân đối Quỹ Bảo hiểm y tế. Trong đó, mở rộng phạm vi chi trả đối với dịch vụ phòng bệnh, dinh dưỡng, quản lý bệnh mạn tính, khám sức khỏe định kỳ.

Cơ sở 2 Bệnh viện Bạch Mai sẵn sàng đi vào hoạt động.

Bộ Y tế đề xuất áp dụng giá dịch vụ y tế tại cơ sở 2 Bạch Mai, Việt Đức như cơ sở chính

Bộ Y tế vừa trình Chính phủ dự thảo nghị quyết về cơ chế, chính sách đặc thù nhằm bảo đảm vận hành hiệu quả cơ sở 2 của Bệnh viện Bạch MaiBệnh viện Hữu nghị Việt Đức. Theo đó, Bộ Y tế cho rằng hai cơ sở cần được áp dụng cơ chế đặc thù về chuyên môn và tài chính để có thể vận hành tương đương cơ sở chính tại Hà Nội.

Chóng mặt khi thay đổi tư thế, đừng bỏ qua yếu tố thị lực

Chóng mặt khi thay đổi tư thế, đừng bỏ qua yếu tố thị lực

Nhiều người cho rằng cảm giác chóng mặt, đau đầu có thể liên quan đến rối loạn tiền đình hoặc tình trạng thiếu ngủ. Tuy nhiên, theo bác sĩ CKI Cấn Ngọc Thúy, công tác tại Hệ thống y tế Mắt 315, một số trường hợp nguyên nhân lại xuất phát từ việc mắt tăng độ cận, loạn thị hoặc lão thị nhưng chưa được điều chỉnh bằng kính phù hợp.

Thứ trưởng Trần Văn Thuấn và các đại biểu tại lễ tưởng niệm các Anh hùng liệt sĩ hy sinh trong sự kiện Gạc Ma năm 1988 trên con tàu 561.

Đoàn công tác Bộ Y tế thăm, làm việc, tặng quà cho cán bộ, chiến sĩ và nhân dân tại quần đảo Trường Sa

Thực hiện Chương trình công tác trọng tâm năm 2026 và hướng về biển đảo quê hương, từ ngày 4/5 đến ngày 10/5, Đoàn công tác Bộ Y tế do Thứ trưởng Y tế Trần Văn Thuấn dẫn đầu đã có chuyến thăm, làm việc và tặng quà cho cán bộ, chiến sĩ và nhân dân đang công tác, sinh sống trên các đảo thuộc quần đảo Trường Sa và Nhà giàn DK1.

Đối với thai kỳ nguy cơ cao, đặc biệt là thai chậm tăng trưởng (FGR), việc chuẩn hóa dữ liệu qua cCTG giúp quá trình theo dõi liên tục có tính đồng nhất cao, hỗ trợ bác sĩ đưa ra quyết định can thiệp chính xác.

“Giải mã” tim thai bằng CTG điện toán, giúp phát hiện sớm nguy cơ cho thai nhi

Bệnh viện Phụ sản Hà Nội là đơn vị công lập đầu tiên tại miền bắc triển khai hệ thống CTG điện toán (cCTG) vào thực hành lâm sàng, hỗ trợ phân tích dữ liệu tim thai bằng thuật toán xử lý tín hiệu và các quy tắc tính toán chuẩn hóa, cung cấp cơ sở dữ liệu khách quan để bác sĩ xác định thời điểm can thiệp phù hợp.

Tàu du lịch MV Hondius neo tại cảng Granadilla trên đảo Tenerife (Tây Ban Nha) để tiến hành sơ tán hành khách, sau khi bùng phát các ca bệnh liên quan đến virus Hanta, ngày 10/5/2026. (Ảnh: THX/TTXVN)

WHO lưu ý về thời gian cách ly người nhiễm virus Hanta

Theo phóng viên TTXVN tại Geneva, phát biểu trong một sự kiện truyền thông, ông Olivier Le Polain - người đứng đầu bộ phận dịch tễ học và phân tích dữ liệu phục vụ ứng phó của Tổ chức Y tế thế giới (WHO) - ngày 11/5 đã cung cấp thêm thông tin về khả năng lây nhiễm của virus Hanta.

Đội ngũ điều dưỡng chăm sóc sức khỏe bà mẹ mang thai tại Bệnh viện Phụ sản Hà Nội. (Ảnh: HỒNG VÂN)

Trao quyền cho điều dưỡng để cứu sống người bệnh

Đội ngũ điều dưỡng là lực lượng nòng cốt trong chăm sóc người bệnh và là một trụ cột quan trọng của hệ thống y tế. Do vậy, việc thực hiện đầy đủ, hiệu quả các quy định về hoạt động điều dưỡng góp phần nâng cao chất lượng chăm sóc người bệnh cần được các cơ sở y tế tập trung thực hiện.

Cục Quản lý Khám, chữa bệnh - Bộ Y tế và Công ty Boehringer Ingelheim Việt Nam ký kết chương trình hợp tác “Tăng cường quản lý bệnh không lây nhiễm tại Việt Nam giai đoạn 2026-2028”.

Nâng cao năng lực cho 2.000 bác sĩ trong điều trị và quản lý các bệnh không lây nhiễm

Trước thực trạng bệnh không lây nhiễm chiếm khoảng 80% số ca tử vong tại Việt Nam, Bộ Y tế và Boehringer Ingelheim Việt Nam triển khai chương trình hợp tác nhằm nâng cao chất lượng chẩn đoán, điều trị và quản lý bệnh mạn tính, đồng thời thúc đẩy chăm sóc y tế toàn diện, liên tục và lấy người bệnh làm trung tâm.

Các nạn nhân ăn nấm độc cấp cứu tại Trung tâm Chống độc, Bệnh viện Bạch Mai.

Nấm độc khó phân biệt bằng mắt thường, chuyên gia khuyến cáo tuyệt đối không ăn

Liên tiếp các vụ ngộ độc nấm amatoxin khiến nhiều người tử vong và nguy kịch, gióng lên hồi chuông cảnh báo về thói quen hái nấm rừng làm thực phẩm. Các chuyên gia chống độc cho biết, nhiều loại nấm độc có hình dạng rất giống nấm ăn thông thường, khó phân biệt và có thể gây suy gan, suy đa tạng với tỷ lệ tử vong lên tới 50%.