Thông tin từ Bệnh viện Trung ương Huế hôm nay (7/1) cho biết, các bác sĩ tại bệnh viện này đã thực hiện thành công ca phẫu thuật gắp dị vật đường ăn lớn nguy hiểm, cứu sống bệnh nhân nam 26 tuổi. Đây là một trường hợp cấp cứu phức tạp, yêu cầu sự can thiệp nhanh chóng, chính xác, thành thạo của đội ngũ y tế.
Trước khi nhập viện 6 ngày, bệnh nhân nam tên Lê Tất V. (26 tuổi), trú tại phường Xuân Phú, quận Thuận Hóa (thành phố Huế), trong khi ăn cháo, vô tình nuốt xương heo. Những ngày tiếp theo, bệnh nhân V. không thể ăn uống gì thêm.
Do điều kiện gia đình khó khăn, bệnh nhân V. không đến bệnh viện ngay sau mắc dị vật. Bệnh nhân nhập viện trong tình trạng đau dữ dội ở vùng cổ họng, không thể ăn uống được, khó thở nhẹ và sưng đau vùng cổ trái rất nhiều.
![]() |
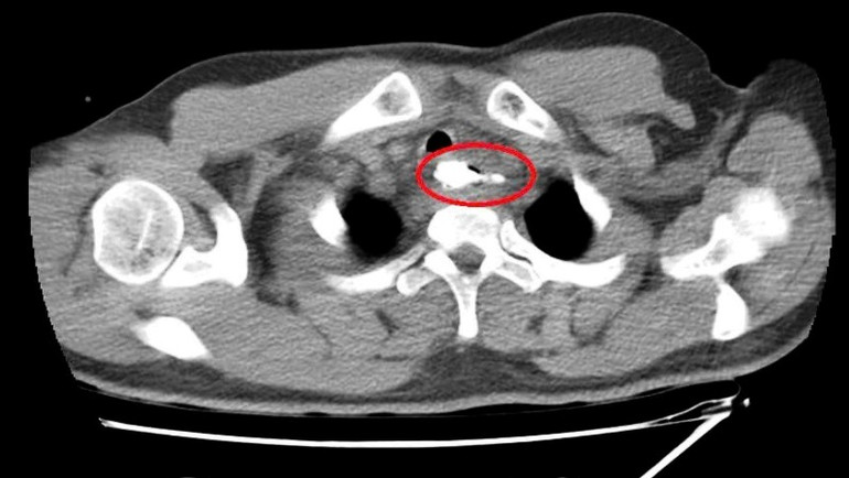
| Dị vật là mẩu xương heo, có mấu nhọn, kích thước 30x41mm, nằm ở thực quản đoạn ngực, cách cung răng trên 20cm. |
Qua thăm khám lâm sàng, chụp cắt lớp vi tính vùng cổ, nội soi mềm thực quản, các bác sĩ phát hiện một dị vật là mẩu xương lớn, nằm ở thực quản đoạn ngực có khả năng gây thủng thực quản, tổn thương nghiêm trọng đến các cơ quan xung quanh.
Ngay lập tức, bệnh nhân được chuyển đến phòng mổ để tiến hành nội soi thực quản ống cứng lấy dị vật dưới gây mê. Quá trình phẫu thuật kéo dài hơn một giờ, đội ngũ nhân viên y tế của các chuyên khoa: Ngoại Nhi Cấp cứu bụng, Tai Mũi Họng, Gây mê hồi sức tại Bệnh viện Trung ương Huế phối hợp thực hiện, khéo léo lấy bỏ dị vật mà không làm tổn hại thêm đến thực quản. Dị vật là mẩu xương heo, có mấu nhọn, kích thước 30x41mm, nằm ở thực quản đoạn ngực, cách cung răng trên 20cm.
![]() |
| Các bác sĩ khuyến cáo người dân cần cẩn thận khi ăn uống, đặc biệt với các loại thực phẩm chứa xương nhỏ, vỏ cứng. (Ảnh: Bệnh viện Trung ương Huế cung cấp) |
Sau phẫu thuật, bệnh nhân được đưa vào phòng hồi sức theo dõi. Hiện tại, tình trạng sức khỏe của anh V. đã ổn định, đang dần phục hồi, theo dõi sát các biến chứng sau phẫu thuật.
Các bác sĩ của ê-kíp phẫu thuật chia sẻ, dị vật đường ăn là một trong những tình huống cấp cứu thường gặp, đặc biệt với những dị vật kích thước lớn, nhọn, để lâu ngày. Dị vật đường ăn, nếu không được phát hiện và xử trí kịp thời, có thể dẫn đến nhiều biến chứng nguy hiểm như: thủng thực quản, áp xe thực quản, viêm trung thất, tổn thương mạch máu lớn vùng ngực, xuất huyết tiêu hóa, tắc nghẽn đường thở, hoặc viêm nhiễm lan rộng có thể đe dọa tính mạng bệnh nhân.
Qua trường hợp này, các bác sĩ khuyến cáo người dân cần cẩn thận khi ăn uống, đặc biệt với các loại thực phẩm chứa xương nhỏ, vỏ cứng hoặc các đồ vật dễ nuốt phải như tăm, kim loại. Trong trường hợp cảm thấy bất thường sau khi ăn, cần đến ngay các cơ sở y tế để được kiểm tra và can thiệp sớm. Tránh tự ý dùng các biện pháp không an toàn như cố nuốt thức ăn cứng để đẩy dị vật xuống.
![]() |
| Hiện tại, tình trạng sức khỏe của anh V. đã ổn định, đang dần phục hồi. (Ảnh: Bệnh viện Trung ương Huế cung cấp) |
Ca phẫu thuật thành công một lần nữa khẳng định năng lực chuyên môn cao và sự tận tâm của đội ngũ y, bác sĩ tại Bệnh viện Trung ương Huế. Các bác sĩ cũng khuyến cáo người dân về tầm quan trọng của việc ăn uống an toàn và bảo vệ sức khỏe bản thân.
Với sự cố gắng không ngừng, Bệnh viện Trung ương Huế tiếp tục khẳng định vai trò là một trong những trung tâm y tế hàng đầu cả nước, nơi người dân có thể hoàn toàn yên tâm tin tưởng trong xử trí các tình huống khẩn cấp, đe doạ đến tính mạng bệnh nhân.


