Nguy kịch sau vài ngày bị viêm xoang cấp mủ

Chỉ với biểu hiện ngạt mũi, sổ mũi, đau đầu nhẹ, bệnh nhân nhanh chóng phải nhập viện với tình trạng co giật, rối loạn ý thức do viêm tắc tĩnh mạch xoang hang - một tình trạng huyết khối nhiễm trùng ở nền sọ. Hiện bệnh nhân vẫn đang trong tình trạng nguy kịch.

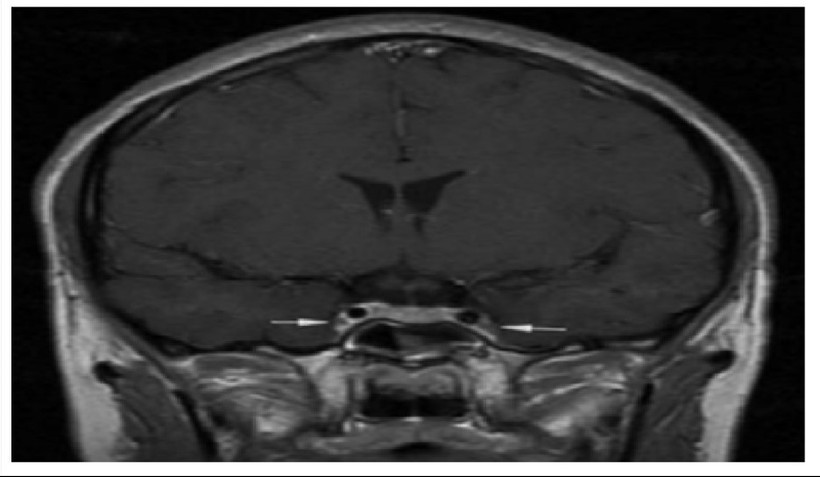
Vị trí mũi tên là viêm và co thắt động mạch cảnh trong 2 bên.
Vị trí mũi tên là viêm và co thắt động mạch cảnh trong 2 bên.

Tại Trung tâm Cấp cứu A9, Bệnh viện Bạch Mai, các bác sĩ vừa tiếp nhận một nam bệnh nhân 25 tuổi nhập viện trong tình trạng mê man, sốt cao, không tự chủ tiểu tiện. Trước đó, hơn hai tuần, người bệnh chỉ bị ngạt mũi, sổ mũi, đau đầu nhẹ. Bệnh nhân có đi khám tại một cơ sở y tế được kê kháng sinh về uống.

Theo hồ sơ bệnh án, bệnh nhân khởi phát bằng viêm xoang cấp mủ, sau đó chuyển sang viêm tấy nửa mặt, rồi nhanh chóng xuất hiện rối loạn ý thức và co giật. Kết quả chụp cộng hưởng từ sọ não cho thấy bệnh nhân có phù nề lan tỏa, dấu hiệu điển hình của viêm tắc tĩnh mạch xoang hang - một tình trạng huyết khối nhiễm trùng ở nền sọ.

Dù được cấp cứu tích cực bằng kháng sinh mạnh, thuốc giảm phù não và hỗ trợ hô hấp, tiên lượng người bệnh vẫn rất nặng, nguy cơ tử vong cao do bệnh đã lan vào não, màng não, và mạch máu cảnh trong.

Bác sĩ Nguyễn Hữu Hồng Quân - Trung tâm Cấp cứu A9, Bệnh viện Bạch Mai cho biết, xoang hang là vùng tĩnh mạch nằm sâu trong nền sọ, chứa dây thần kinh và động mạch cảnh đi vào. Viêm tắc tĩnh mạch xoang hang gây lồi mắt, mù lòa, có thể lan vào vùng lân cận gây viêm màng não mủ, nhồi máu não, thậm chí tử vong. Tỷ lệ tử vong của bệnh này dao động từ 15-30%, và 1/3 bệnh nhân sống sót để lại di chứng nặng nề như mù, liệt mặt, song thị kéo dài.

Theo các chuyên gia, đây là căn bệnh hiếm nhưng cực kỳ nguy hiểm, thường bắt đầu sau 5-10 ngày nhiễm trùng vùng mặt hoặc mũi xoang. Người bệnh cần đến ngay bệnh viện khi có một hoặc nhiều dấu hiệu sau, triệu chứng kinh điển của viêm tắc xoang hang: Đau đầu dữ dội, sốt cao không rõ nguyên nhân; sưng đỏ quanh mắt, mắt lồi, sụp mi, nhìn đôi; sưng lan sang mắt còn lại chỉ trong 24-48 giờ; giảm thị lực, cảm giác vùng trán, mũi hoặc má.

Các bác sĩ Bệnh viện Bạch Mai khuyến cáo, mọi người không nặn mụn vùng mũi-môi trên, vì đây là “tam giác nguy hiểm” có mạch máu thông trực tiếp với xoang hang. Lưu ý điều trị sớm các bệnh viêm xoang, viêm răng, áp xe ổ mắt.

Đặc biệt, không tự ý dùng thuốc khi đau đầu, sưng mặt hoặc sốt cao kéo dài. Bên cạnh đó, cần kiểm soát tốt bệnh nền như tiểu đường, suy giảm miễn dịch.

Bác sĩ Quân nhấn mạnh, căn bệnh này không quá ồn ào, nhưng cực kỳ tàn khốc. Một cơn đau đầu, một nốt mụn tưởng nhỏ, đôi khi lại là tín hiệu đầu tiên của cuộc đua sinh tử. Do đó, mọi người nên đến bệnh viện ngay khi có những triệu chứng như trên để được thăm khám, chẩn đoán và điều trị kịp thời.

Có thể bạn quan tâm

Xử lý cấp cứu cho người bệnh tại Trung tâm Cấp cứu ( Bệnh viện Bạch Mai)

Lan tỏa kỹ năng sơ cứu trong cộng đồng

Những ngày gần đây liên tiếp có hai trường hợp gặp nạn tại cộng đồng may mắn được cứu sống trong gang tấc nhờ sự có mặt kịp thời của cán bộ y tế. Dẫu biết rằng, việc cứu người là trách nhiệm của cán bộ y tế, nhưng đó là tại cơ sở y tế, nơi có các trang thiết bị, thuốc men đầy đủ, còn ở cộng đồng là câu chuyện hoàn toàn khác.

Giáo sư, Tiến sĩ Trần Văn Thuấn, Thứ trưởng Y tế phát biểu.

Ra mắt Thuật ngữ Răng Hàm Mặt Anh-Việt

“Thuật ngữ Răng Hàm Mặt Anh-Việt” là một công trình khoa học có giá trị, được biên soạn bởi các chuyên gia hàng đầu trong lĩnh vực răng hàm mặt Việt Nam. Cuốn sách ra đời là kết quả của quá trình lao động khoa học nghiêm túc, tâm huyết và trách nhiệm của tập thể các chuyên gia, nhà khoa học, giảng viên và bác sĩ trong ngành.

Thầy thuốc Bệnh viện Trung ương Thái Nguyên thực hiện kỹ thuật nút mạch gan.

Thái Nguyên: Tiếp tục hành trình vì sức khỏe người dân

Với các thầy thuốc Bệnh viện Trung ương Thái Nguyên, 13/3/1960 là ngày đặc biệt, đó là ngày Bác Hồ về thăm cán bộ y tế, người dân đang điều trị tại Bệnh viện. Khắc ghi lời Bác dặn, các thế hệ thầy thuốc Bệnh viện Trung ương Thái Nguyên không ngừng trau dồi y đức, y thuật để điều trị cho người bệnh ngày càng tốt hơn.

Tiến sĩ, bác sĩ Nguyễn Thu Giang chia sẻ tại chương trình.

Bổ sung collagen đúng cách để làm chậm lão hóa từ bên trong

Collagen không chỉ đơn thuần là yếu tố làm đẹp, mà còn đóng vai trò quan trọng trong việc duy trì cấu trúc của da, tóc, móng, xương và nhiều mô trong cơ thể. Việc bổ sung collagen đúng cách giúp hỗ trợ quá trình tái tạo, làm chậm lão hóa và góp phần duy trì vẻ đẹp khỏe mạnh, tự nhiên theo thời gian.

Gout là bệnh lý do sự rối loạn chuyển hóa nhân purin, làm tăng axit uric trong máu.

Những sai lầm của bệnh nhân gout khi điều trị khiến bệnh ngày càng nặng

Chỉ uống thuốc khi lên cơn đau, tự ý dùng thuốc giảm đau liều cao, ăn kiêng cực đoan hoặc tin vào các bài thuốc “truyền miệng” không rõ nguồn gốc… là những sai lầm phổ biến của nhiều bệnh nhân gout. Chính những thói quen điều trị thiếu khoa học này khiến bệnh gout dễ tái phát, tiến triển nặng và làm tăng nguy cơ biến chứng.

Trung tâm Tim mạch, Bệnh viện Nhi Trung ương vừa được trao danh hiệu “Trung tâm Tim mạch xuất sắc” do tổ chức Children’s HeartLink phối hợp với Bệnh viện Trẻ em Benioff, San Francisco, California trao tặng.

Trung tâm Tim mạch, Bệnh viện Nhi Trung ương được vinh danh “Trung tâm Tim mạch xuất sắc”

Trung tâm Tim mạch, Bệnh viện Nhi Trung ương vừa được trao danh hiệu “Trung tâm Tim mạch xuất sắc” do tổ chức Children’s HeartLink phối hợp với Bệnh viện Trẻ em Benioff, San Francisco, California trao tặng. Đây là bệnh viện thứ ba tại khu vực Đông Nam Á và là đơn vị thứ bảy trên thế giới được nhận danh hiệu này.

Bệnh viện Phụ sản-Nhi Đà Nẵng đang tích cực điều trị cho các bệnh nhi.

Đà Nẵng tập trung điều trị cho các bệnh nhi nghi nhiễm độc tố botulinum

Ngày 12/3, Tiến sĩ, bác sĩ Trần Đình Vinh, Giám đốc Bệnh viện Phụ sản-Nhi Đà Nẵng cho biết, Bệnh viện đã tiếp nhận 5 lọ thuốc giải độc botulinum do Tổ chức Y tế thế giới (WHO) hỗ trợ khẩn cấp để điều trị 3 bệnh nhi nguy kịch nghi do độc tố botulinum. Hiện đơn vị đang tập trung mọi nguồn lực để điều trị tích cực cho các bệnh nhi.