Cứu sống bệnh nhân vỡ u thận bằng kỹ thuật can thiệp mạch hiện đại

Một ca bệnh nguy kịch vừa được các bác sĩ Bệnh viện đa khoa Xuyên Á tại Thành phố Hồ Chí Minh cứu sống ngoạn mục nhờ kỹ thuật can thiệp nút mạch, giải pháp ít xâm lấn, giúp cầm máu hiệu quả và bảo tồn thận cho bệnh nhân.

Bác sĩ thăm khám cho bệnh nhân sau phẫu thuật.
Bác sĩ thăm khám cho bệnh nhân sau phẫu thuật.

Bệnh nhân B. 67 tuổi, ngụ tỉnh Tây Ninh bị u cơ mỡ mạch thận bên trái, loại u lành tính thường gặp ở phụ nữ trung niên. Khối u thận có kích thước khổng lồ lên đến 16cm, bất ngờ vỡ khiến bà B. bị đau dữ dội, tụt huyết áp, rơi vào trạng thái sốc mất máu đe dọa đến tính mạng.

Nhờ được chuyển gấp đến Bệnh viện đa khoa Xuyên Á, các bác sĩ đã khẩn trương hồi sức và quyết định can thiệp nút mạch cầm máu dưới hệ thống số hóa xóa nền (DSA).

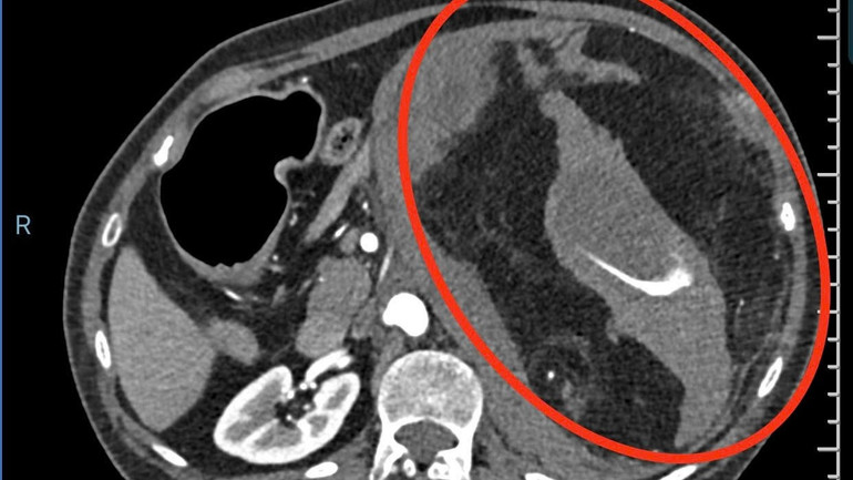
hinh-anh-ct-scan-khoi-buou-gay-xuat-huyet.jpg
Hình ảnh scan khối bướu gây xuất huyết.

Chỉ trong 45 phút, ê-kíp đã luồng ống thông nhỏ qua động mạch đùi, tiến hành nút tắc mạch máu bị vỡ nuôi khối u bằng vật liệu chuyên dụng, ngăn chặn hiệu quả tình trạng chảy máu. Nhờ đó bệnh nhân được cứu sống mà không cần trải qua cuộc phẫu thuật mổ mở nặng nề, tiềm ẩn nhiều rủi ro như cắt bỏ một phần hoặc toàn bộ thận.

Sau can thiệp, bà B. đã ổn định, hết đau và đang được theo dõi hồi phục. Theo Thạc sĩ, bác sĩ Nguyễn Đoàn Ngọc Trấn, khoa Ngoại tiết niệu, Bệnh viện đa khoa Xuyên Á, u cơ mỡ mạch thận tuy lành tính nhưng có thể gây biến chứng nguy hiểm nếu phát triển quá lớn.

ekip-can-thiep-nut-mach-cam-mau.jpg
Bác sĩ can thiệp nút mạch cầm máu.

Khi khối u vượt quá 4cm, thành mạch yếu dễ vỡ, dẫn đến xuất huyết nội và có thể tử vong nếu không được cấp cứu kịp thời.

Can thiệp nội mạch hiện là hướng điều trị tiên tiến, giúp kiểm soát chảy máu nhanh, rút ngắn thời gian hồi phục và bảo tồn tối đa chức năng thận. Đây là lựa chọn ưu tiên trong xử lý các trường hợp u thận xuất huyết, thay thế hiệu quả cho phẫu thuật truyền thống.

Từ ca bệnh trên, các bác sĩ khuyến cáo, người dân không nên chủ quan khi xuất hiện các triệu chứng như đau hông lưng, mệt mỏi, khó thở. Việc khám sức khỏe định kỳ và tầm soát hình ảnh học giúp phát hiện sớm các bất thường ở thận để kịp thời điều trị, tránh nguy cơ biến chứng đe dọa tính mạng.

Có thể bạn quan tâm

Những thanh lạp xưởng tươi thơm ngon được xem là linh hồn của các bữa cơm gia đình.

Độc đáo hương vị lạp xưởng tươi Tây Ninh

Lạp xưởng tươi Tây Ninh được chế biến và thưởng thức khi còn tươi, có vị chua nhẹ rất đặc thù. Là món ăn có nguồn gốc từ Trung Hoa với hương vị ngọt, bùi từ thịt mỡ, cay nhẹ của rượu và hạt tiêu, có mầu sắc đỏ hồng tượng trưng cho may mắn, những thanh lạp xưởng tươi thơm ngon được xem là linh hồn của bữa cơm gia đình.

Lễ hội Kỳ Yên Đình Tân Chánh đã được Bộ Văn hóa, Thể thao và Du lịch công nhận là Di sản văn hóa phi vật thể quốc gia.

Bảo tồn giá trị di sản văn hóa phi vật thể

Tây Ninh hiện có 223 di tích lịch sử-văn hóa, trong đó có một Di tích quốc gia đặc biệt, 50 di tích quốc gia và 16 di sản lịch sử-văn hóa phi vật thể trong danh mục quốc gia. Nhiều di tích có kiến trúc mang đậm nét đặc trưng vùng Nam Bộ từ nhiều thế kỷ trước.

Dự án nạo vét kênh Bến Đình là một trong các dự án vướng mắc trong giải phóng mặt bằng (Ảnh CTV)

Gỡ vướng cho các dự án phía đông

Do công tác giải phóng mặt bằng nhiều dự án ở khu vực phía đông Thành phố Hồ Chí Minh còn vướng mắc, có nguy cơ chậm tiến độ, Sở Nông nghiệp và Môi trường cùng các ban, ngành chức năng thành phố đang tích cực phối hợp chính quyền địa phương tháo gỡ, đẩy nhanh tiến độ công trình.

Gia đình ông Điểu Vơn ở xã Bù Gia Mập lưu giữ giá trị truyền thống của người M'Nông.

Giữ mạch nguồn văn hóa trong hội nhập

Giữa nhịp sống hiện đại, đồng bào các dân tộc anh em trên địa bàn thành phố Đồng Nai vẫn bền bỉ gìn giữ, trao truyền và làm giàu thêm những giá trị văn hóa truyền thống quý báu, góp phần tạo nên bức tranh văn hóa đa sắc màu và vun đắp sức mạnh đoàn kết các dân tộc.

Đoàn công tác tỉnh Tây Ninh làm việc với Trường HCC Central College để tìm hiểu mô hình đào tạo tiên tiến.

Chủ động chiến lược thu hút đầu tư

Tỉnh Tây Ninh đang điều chỉnh chiến lược thu hút đầu tư phát triển theo hướng chủ động, có chọn lọc, nhất là nguồn nhân lực chất lượng cao; đẩy mạnh xúc tiến thương mại, mở rộng thị trường xuất khẩu cho nông sản.

Lễ hội đua ghe ngo phường Xuân Hòa là điểm nhấn về hoạt động văn hóa, du lịch của Thành phố Hồ Chí Minh.

Sôi nổi phong trào thi đua tại phường Xuân Hòa

Sau gần một năm vận hành mô hình chính quyền địa phương hai cấp, phường Xuân Hòa đã ghi dấu bằng những kết quả nổi bật trong phát triển kinh tế-xã hội, gắn với các phong trào thi đua yêu nước thiết thực, hiệu quả.

Chị Bùi Thị Trung Thảo hiện làm việc tại Văn phòng Hội đồng nhân dân, Ủy ban nhân dân phường An Nhơn, Thành phố Hồ Chí Minh.

Sắp xếp người hoạt động không chuyên trách cấp xã phù hợp

Thành phố Hồ Chí Minh dự kiến có hơn 5.500 người hoạt động không chuyên trách cấp xã sẽ phải nghỉ việc hoặc sắp xếp lại trước ngày 31/5/2026. Hiện thành phố đã chủ động rà soát để xây dựng phương án sắp xếp, bố trí đội ngũ này phù hợp yêu cầu thực tiễn công việc.

Nhiều đơn vị xuất bản, phát hành sách tại Thành phố Hồ Chí Minh đang nỗ lực tạo thêm kênh tiếp cận độc giả (Ảnh CTV)

Những cách làm hay cho văn hóa đọc

Không dừng lại ở việc sáng tạo thêm mô hình độc đáo, lĩnh vực tiếp cận mới, nhiều đơn vị xuất bản, phát hành sách cùng nhau tạo nên tiếng nói chung nhằm thúc đẩy thị trường phát triển theo hướng khả quan, bền vững hơn.

Thành phố Đồng Nai hiện có khoảng 1,4 triệu công nhân.

Đồng Nai nỗ lực để “không ai bị bỏ lại phía sau”

Bảo đảm an sinh xã hội để mỗi người dân đều được thụ hưởng thành quả là một trong những nhiệm vụ hàng đầu được cả hệ thống chính trị thành phố Đồng Nai ưu tiên thực hiện. Trong đó, với một thành phố “thủ phủ” công nghiệp thì việc nâng cao đời sống vật chất, tinh thần công nhân, góp phần quan trọng để phát triển nhanh, bền vững.

Các đối tượng lừa đảo ông K. mua đồng đen giả.

Những chiêu trò lừa đảo bán đồng đen

Những cục đồng đen, đá thiên thạch thực chất là “đồ dỏm” nhưng vẫn lừa được một số người. Các vụ mua bán đá giả mạo đều kết thúc bằng lừa lọc, cướp giật nhưng nhiều người vẫn nhẹ dạ ném sự an toàn, tiền bạc vào cục sắt vô tri.

Chủ tịch Hội đồng thành viên EVNSPC Lê Văn Trang thăm và động viên cán bộ, kỹ sư, công nhân thi công tại dự án điện dịp Lễ 30/4 và 1/5.

Đồng bộ nhiều giải pháp để tăng năng lực cung ứng điện cho miền nam

Trong bối cảnh nhu cầu điện tăng trưởng mạnh mẽ cùng áp lực từ biến đổi khí hậu và các đợt nắng nóng cực đoan, ngành điện miền nam đã và đang triển khai hàng loạt giải pháp đồng bộ nhằm bảo đảm cung ứng điện ổn định, phục vụ phát triển kinh tế-xã hội và đời sống người dân.

Lãnh đạo thành phố Đồng Nai khảo sát để quy hoạch lại, tạo không gian phát triển cho phường Trảng Dài.

Đồng Nai tái thiết nơi “làng không ra làng, phường không ra phường”

Trong ngày thứ hai sau khi trở thành thành phố trực thuộc Trung ương, lãnh đạo thành phố Đồng Nai đã khảo sát thực tế, tìm giải pháp để tái thiết không gian phát triển cho phường Trảng Dài, nơi từng xảy ra điểm nóng xây dựng trái phép, gây nên nhiều hệ lụy dai dẳng, được ví như “làng không ra làng, phường không ra phường”.

Lãnh đạo xã Phú Riềng thăm thương binh 1/4 Nguyễn Khắc Hoành, tỷ lệ tổn thương cơ thể 81%.

Đồng Nai: Nhiều hoạt động ý nghĩa nhân kỷ niệm 51 năm Ngày Giải phóng miền nam, thống nhất đất nước

Là địa phương giàu truyền thống cách mạng, tiếp nối đạo lý “uống nước nhớ nguồn” của dân tộc, thời gian qua, các cấp, ngành ở Đồng Nai đặc biệt quan tâm đến công tác chăm lo người có công và chăm sóc di tích lịch sử. Những công tác này luôn được địa phương ưu tiên, khẳng định là trách nhiệm của thế hệ hôm nay.