Phó Giáo sư, Tiến sĩ Đồng Văn Hệ, Phó Giám đốc Bệnh viện Hữu nghị Việt Đức, Chủ tịch Hội Phẫu thuật Thần kinh Việt Nam và ASEAN cho biết, kỹ thuật này thuộc đề tài nghiên cứu cấp nhà nước về phẫu thuật thần kinh ít xâm lấn, được Bộ Khoa học và Công nghệ phê duyệt, với mục tiêu cải tiến phương pháp điều trị, hạn chế tối đa xâm lấn và rủi ro cho bệnh nhân. Đây cũng là kỹ thuật lần đầu tiên được thực hiện thành công tại Việt Nam.
Phẫu thuật nội soi trong lĩnh vực thần kinh và sọ não phát triển muộn hơn so với các chuyên ngành khác như nội soi ngực, ổ bụng, gối hay khớp. Tại Việt Nam, kỹ thuật nội soi thần kinh bắt đầu từ năm 2003 với các can thiệp đơn giản như điều trị não úng thủy, sau đó dần mở rộng sang các kỹ thuật phức tạp hơn, đặc biệt là phẫu thuật nội soi nền sọ qua đường mũi.
Đây là một trong những hướng đi quan trọng trong nghiên cứu cấp nhà nước của Phó Giáo sư, Tiến sĩ Đồng Văn Hệ, tập trung vào ứng dụng nội soi trong điều trị các bệnh lý thần kinh.
Bác sĩ Hệ cho biết, trước đây, để can thiệp các tổn thương nền sọ, bác sĩ thường phải mở rộng hộp sọ và sử dụng kính hiển vi. Một số trường hợp tổn thương tầng giữa có thể tiếp cận bằng nội soi qua đường mũi, nhưng phương pháp này không khả thi đối với những khối u có vị trí khó tiếp cận.
Giờ đây, với phương pháp mới, bác sĩ chỉ cần thực hiện một đường rạch nhỏ ở cung mày, đưa ống nội soi vào để hỗ trợ nguồn sáng, quan sát tổn thương và tiến hành phẫu tích, cắt bỏ khối u một cách chính xác.
Trong tuần qua, Bệnh viện Việt Đức đã thực hiện thành công hai ca phẫu thuật cắt u màng não ở tầng trước nền sọ bằng kỹ thuật này. Cả hai bệnh nhân đều có khối u nằm ngay trên trần hố mắt. Một bệnh nhân có khối u đường kính 1,8cm và một bệnh nhân có khối u gần 3cm. Cả hai ca phẫu thuật đều thành công, bệnh nhân phục hồi tốt.
Trước đây, nếu tiếp cận theo phương pháp kinh điển, bác sĩ phải mở hộp sọ rộng hoặc sử dụng kính hiển vi để phẫu thuật. Nhưng với phương pháp mới, toàn bộ quá trình được thực hiện bằng nội soi, giúp loại bỏ u hiệu quả mà vẫn bảo toàn tối đa các cấu trúc xung quanh.
Theo Phó Giáo sư Đồng Văn Hệ, trước đó, từ năm 2005, Bệnh viện Hữu nghị Việt Đức đã áp dụng kỹ thuật này nhưng sử dụng kính hiển vi. Chỉ trong thời gian gần đây, các bác sĩ mới thử nghiệm kết hợp nội soi trong một số công đoạn. Lần này, toàn bộ quá trình phẫu thuật được thực hiện bằng nội soi.
Kỹ thuật này có nhiều ưu điểm vượt trội như ống nội soi tiếp cận trực tiếp vị trí tổn thương với các góc nhìn linh hoạt (0 độ, 30 độ, 45 độ), giúp phẫu thuật viên quan sát rõ ràng toàn bộ vùng tổn thương mà không cần tác động nhiều vào nhu mô não.
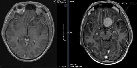
![]() |
| Phim chụp MRI trước mổ (bên phải) và sau mổ (bên trái) cho bệnh nhân. |
Phương pháp này giảm thiểu tối đa nguy cơ biến chứng, tổn thương các dây thần kinh quan trọng như thần kinh thị giác, thần kinh khứu giác. Các bác sĩ thực hiện kỹ thuật không cần vén rộng tổ chức não, giảm tỷ lệ tổn thương mô lành.
Hệ thống ánh sáng nội soi giúp phẫu thuật viên quan sát tốt hơn so với kính hiển vi truyền thống, cho phép đánh giá chính xác ranh giới giữa khối u và mô lành.
Với phương pháp này, thời gian phục hồi nhanh hơn, bệnh nhân có thể xuất viện sớm và trở lại cuộc sống bình thường trong thời gian ngắn.
Với thành công bước đầu của kỹ thuật này, đây sẽ là một hướng đi mới trong phẫu thuật thần kinh ít xâm lấn, mở ra nhiều cơ hội điều trị an toàn và hiệu quả hơn cho bệnh nhân tại Việt Nam.
